高雄男肛門塞椰子要開刀,網民:那椰子很大。
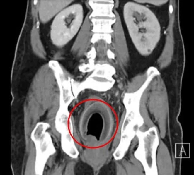
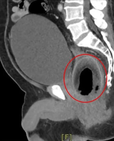
高雄一名年約40歲男子闖急症室,聲自己肛門裡有東西阻塞,未能小便,醫生正對對方的說話存疑,詎料一經檢查,驚見一個椰子竟然硬生生地卡在男子的直腸內,阻塞膀胱出口導致無法排尿,但不管醫生如何徒手,甚至使用多種器械協助,都無法從男子的肛門裡取出椰子,最終只好參照「剖腹產子」,剖開男子腹部與直腸,取出這個椰子。這宗病例已刊登於《英國醫學期刊》。
綜合報道,高雄義大醫院一般醫學外科主任、大腸直腸科主治醫生陳致一坦言,這是第一次碰到塞椰子的個案。他表示,男子是獨自求診,聲稱前一晚塞了東西入肛門裡,膀胱很漲,未能排尿,經電腦掃描(CT)發現,男子的膀胱漲到有如一個橄欖球,估計裡面大概有近2,000毫升的尿,幾漲爆,另外直腸也有個圓形異物,向男子查詢後,對方回答:「椰子」。醫護試過先為男子導尿,但被椰子卡住,尿管插不入膀胱,再試過用手及多種器械,伸進去男子肛門,但無論怎麼夾、怎麼挖,椰子仍是原封不動。經過評估,倘若繼續拖延下去,恐會膀胱爆破、直腸壞死,陳致一立即進行手術,以類似「剖腹產」的方式,剖開直腸取出椰子。但到底如何將椰子塞入肛門,男子直至出院仍不願透露。
網民:讓世界看見台灣
陳致一指,肛門塞異物最可能的危險,就是造成肛門撕裂傷,恐留下括約肌鬆弛、滲便的後遺症,再者異物也可能傷害直腸組織,可能被塞傷、塞破,而上述男子所塞的椰子,更是卡住膀胱出口,還有膀胱漲破的風險,奉勸有此習慣者,還是不要「逆其道而行」,以免後悔莫及。網上圖片顯示,那個取出的椰子的長度有約10厘米。
引起台灣網民熱議,紛紛討論:「怎麼進去的」、「懂玩」、「我剛剛google了椰子,那很大」、「椰肛狠人」、「讓世界看見台灣」、「進的去 ,出不來」、「世界怎麼跟得上台灣?」。












