男子釣魚突抽搐失語,開腦驚見10厘米活蟲蠕動。(微博)
內地一名37歲男子突然不會說話,就醫檢查後發現,竟然是長達10公分的活蟲惹得禍!廣東三九腦科醫院副院長林濤就提醒,若誤食生水或生蛙肉、蛇肉,要小心寄生蟲入體,嚴重的話有喪命風險。
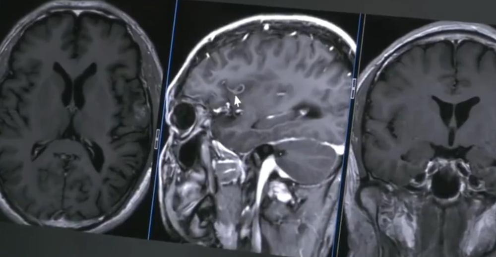
綜合《半城晚報》等內地媒體報道,37歲男子於6月7日和朋友相約到東莞釣魚,下午1點突然感覺嘴巴不受控制地張開,不僅無法說話,就連腦袋也不受控制地向左抽搐點頭。男子說,當時頭腦清醒,但無法用言語表達,所以只能以手心寫字請朋友幫忙叫救護車,但上車前症狀已有所改善。經多家醫院檢查,發現可能是寄生蟲所致,直到他到了廣東三九腦科醫院,神經外二科副主任醫師張旭標才判定他是裂頭絛蟲的幼蟲感染,位置就在大腦掌管語言產生與表達控制的區域。透過影像可以看到蟲體正緩慢向大腦深部移動,因此必須立刻做手術。
男子憶述回到老家回到老家
男子在全麻狀態下開顱,麻醉科醫生將他從麻醉中喚醒,接著遵照指令吐舌、握拳、回答簡單的問題等,藉由即時互動,醫生最終成功捉到長度約10厘米仍在蠕動的裂頭絛蟲幼蟲。術後,恢復狀況良好。男子憶述,小時候喝過生水,回到老家依舊有用井水刷牙的習慣。對此,醫生提醒,裂頭絛蟲幼蟲通常會寄生在青蛙、蛇、田螺等動物體內。如果不慎吃下被其蟲卵污染的生水,或吃了沒煮熟的野生蛙肉、蛇肉,幼蟲就可能進入腸道,並伴隨血液留至全身,如果鑽入大腦就會引發癲癇、肢體無力、語言障礙等症狀,更嚴重會可能危及生命。













