前列腺癌是本港第四常見的癌症,以男士來說,則位列第三。醫生如懷疑病人患有前列腺癌,會建議先抽取活組織作化驗。傳統的經直腸穿刺方法較易出現感染,需要住院接受抗生素治理;近年引入的「經會陰穿刺」則能有效減少感染風險。而以最新研發的PSMA影像腫瘤陰影技術作超聲融合導向,可更準確抽取前列腺組織及決定往後的治療方案。
泌尿外科專科醫生崔家倫表示,傳統的經直腸穿刺已經用了三十多年,由於前列腺在直腸前方,在直腸超聲波探頭的引導下,活檢針穿過直腸達到前列腺抽取組織化驗。但由於直腸充滿細菌,而且近年來濫用抗生素的情況嚴重,引起的抗藥性細菌感染問題愈來愈多,患者需要住院一星期接受抗生素注射,甚至有時會出現嚴重併發症如壞血病,而入住深切治療部。
經會陰穿刺減感染
近年引入了「經會陰穿刺」(TPUS)的方法,目的是減低感染的風險。相對經直腸10%至15%的感染率,經會陰感染的感染率只有0.1%,而且也只是輕微的下尿道感染。此方法亦可以在局部麻醉下完成,屬只需時十數分鐘的日間程序,病人術後也不會有大便出血的問題。
崔家倫指出,以香港的經驗來說,最近一份報告研究了200名需要接受抽取活組織確診前列腺癌的病人,一半人接受傳統的經直腸穿刺,另外一半人以TPUS穿刺活檢,結果發現,4%接受傳統方法的病人因感染而發燒,需要留院至少一周接受抗生素治療;反之接受TPUS的組別均無細菌入血感染,證明此檢查比較安全。
崔家倫指出,經會陰穿刺方法可大減感染風險。
提高穿刺成功率
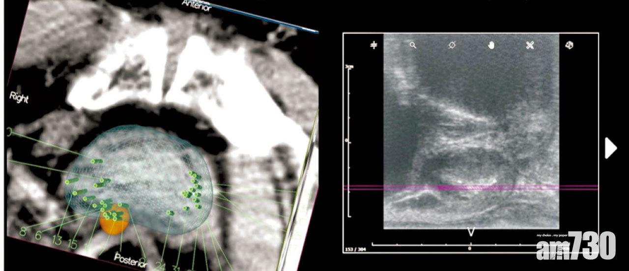
最近醫學界更引入Prostate Surface Membrane Antigen(PSMA)正電子掃描,對偵測前列腺癌細胞的敏感度高達85%至97%,配合即時的聲音影像,能增加可疑組織穿刺的成功率。同時可以清楚全身的癌細胞的轉移情況,大大提高診斷準確度,同時為醫生提供更多資料,更準確地選擇最適合病人的治療方案。
多種治療選擇
病人一旦確診前列腺癌,如發現於早期而局限於腺體內,近年的治療方向也趨向較少入侵性、可保存尿控及勃起功能的方法。其中重點定向治療(Focal Therapy)在歐美澳也開始普及,主要理念是除掉癌腫瘤的同時保留器官,以達致不影響生活質素的效果。前列腺癌重點定向治療,如冷凍消融(Cryoablation)、微波消融術(Microwave)、雷射激光消融(Laser ablation)、高能聚焦超聲(HIFU)和納米刀(Irreversible Electroporation),是近年前列腺癌治療的熱門討論話題之一。
利用最新的正電子掃描,在可疑的前列腺癌組織附近定位(綠色點),找出更準確的抽針位置以作活檢。右圖為同一前列腺位置的超聲波圖像。




