
很多人都聽說過PSA——前列腺特異抗原,簡單理解就是若體內PSA偏高,代表可能有較高風險患了前列腺癌。可是,PSA雖有一定的指標性,卻並非一個可確診前列腺癌的證據,PSA若超標應怎樣處理,近年也有了很大轉變。

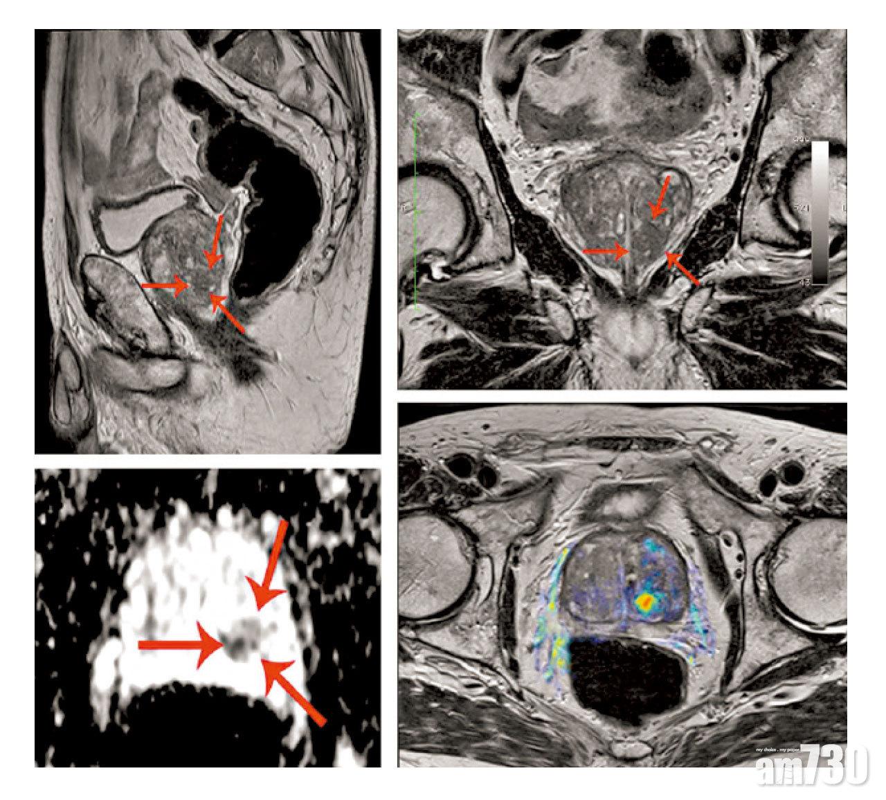
磁力共振檢查可作前列腺癌風險評估,也有助提升抽針準確度。
香港執業專科醫生協會代表、泌尿外科專科醫生傅錦峰指出,前列腺癌早期時很難發現,因為沒有症狀,「有些人以為早期前列腺癌會影響小便,其實一般都不會。大家可想像前列腺是一個蘋果,尿道是從蘋果芯穿過,而超過90%的前列腺癌卻是在蘋果皮的位置,因此早期絕少會影響排尿。」
PSA上升原因多
「PSA並非單純的癌指數,而是前列腺分泌出來的蛋白走入血液的指標;如果前列腺出現異常狀況,例如癌症,便可令PSA指數升高。但前列腺發炎,或出現良性增生,甚至年長,同樣都會令PSA上升。」傅錦峰表示,「除非PSA極高,例如接近200,才可斷定是前列腺癌,且已擴散,否則驗出PSA超標之後仍須作進一步檢查來確定原因。」現時一般以PSA 4.0ng/mL為分界線,4.0以下代表正常,4.0或以上則超標,代表前列腺有病變風險。
過往,4.0或以上的病人,醫生再綜合其他因素,或會建議病人抽針(插針抽取前列腺組織)檢查,做法是在超聲波影像下抽針,確保刺中前列腺,但能否刺中並抽出腫瘤組織要靠運氣,於是引伸不少問題:成功抽出癌細胞代表有癌症,沒抽出癌細胞卻不代表沒有癌症,於是若病人翌年再驗PSA仍是4.0或以上,是否又要抽針呢?
提升檢查準確度
病人每年都抽針碰運氣當然不理想,幸好現在對PSA超標的處理方法已大幅改進,以磁力共振檢查為主,「檢查時若發現疑似腫瘤的陰影,放射科醫生會將陰影分為1至5分,1至2分代表風險不高,3至4分代表風險頗高,5分代表有相當大可能是前列腺癌。」
而在抽針方面現在亦會採用磁力共振導航抽針,傅錦峰解釋,「做法其實是將磁力共振和超聲波混合使用,以超聲波顯示前列腺的實時影像,由磁力共振導航至檢測出陰影的位置抽針,並非隨機而是有針對性,因此準確度大幅提升,亦減少了『無辜』的位置被抽針,因此風險較低,出血也較少。」

傅錦峰指PSA上升原因眾多,若有懷疑便須進一步檢查。