
突然全身瘀傷或患AML
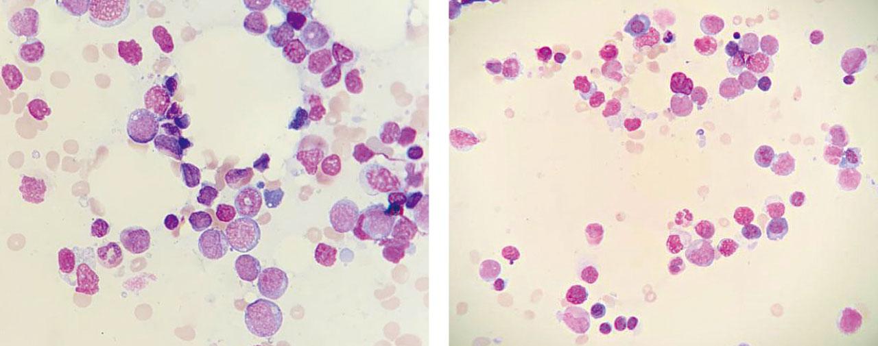
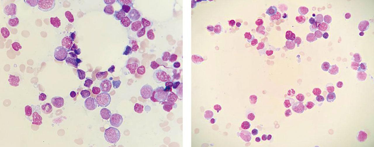
白血病俗稱血癌,可分為急性及慢性,亦可再細分為淋巴性及骨髓性,急性骨髓性白血病(AML)被喻為惡化最快的癌症之一,是急性白血病中最常見的一種。AML大部分由後天異變引起,當中約三分一屬於FLT3基因突變,增加復發及治療失敗的風險。
港大醫學院內科學系名譽臨床助理教授梁文杰醫生指,大部分AML患者的發病成因是基因後天異變,亦有小部分與遺傳因素有關。「AML會影響紅血球、白血球及血小板,因此症狀主要關係到3種血液成分的改變,包括發燒、疲倦、血色素偏低、全身出現瘀傷或小紅點、流牙血及牙肉腫脹等。」現時醫學界仍未確實AML的成因,但曾接受高劑量的化療或電療都有可能增加患上AML的風險。

AML會影響紅血球、白血球及血小板。
年長患者存活率較低
AML多為年長時發生的病變,平均發病年齡為60至65歲,65歲以上的人士平均每十萬人中有20名患者;而65歲以下則只有兩名。AML有不同種類及風險組合,令存活率變得因人而異。梁文杰稱,65歲以下患者的5年存活率約為20%至60%,同時要視乎不同的風險因素;而65歲以上則約為5%至30%。
FLT3基因突變
約有四分一至三分一的AML患者存在FLT3基因突變,梁文杰形容,「FLT3突變就好像開關失靈,本來身體是有機制去控制開關,開的時候就幫助細胞生長,關的時候就會停止。但當FLT3突變出現後,就會長期保持在開啟的狀態,細胞不受控地生長。」

梁文杰指FLT3基因突變就好像開關失靈,令細胞失控生長。
標靶藥控制病情
AML的治療方法以化療為主,梁文杰表示,「視乎不同患者的基因變異組合,會考慮在治療組合中加入標靶藥物,增強療效;而合適的病人會在病情受控後接受骨髓移植,助減低復發的風險。另外,如較年長的患者不適合高強度化療,亦可透過較低強度的化療及標靶藥去控制病情。」
至於具FLT3異變的AML,治療方法亦相近,會在標準化療、誘導治療及鞏固治療中,加入相應的標靶藥物。梁文杰續指,FLT3白血病的復發風險頗高,猶幸現時亦已有相關標靶藥物,令病情可再次受控,延長存活率,「其實有不少FLT3白血病的病人在第一次治療受控,接受骨髓移植及標靶藥治療後,能夠維持可接受的生活質素。」
捐骨髓方法簡化
現時骨髓捐贈的方式,主要是周邊血幹細胞捐贈,過程與捐血相似,只需3至4小時便可完成,亦毋須全身麻醉,比傳統捐骨髓方法簡單。而近年出現的「半相合移植」,捐贈者的骨髓只需要與接受者一半吻合便可,大大增加找到合適骨髓的機會。如果你的身體健康狀況良好,並有興趣成為捐贈者,可到任何一間紅十字會捐血站登記。