除了內臟、器官之外,骨骼和肌肉都有可能長出腫瘤,其中原發性惡性腫瘤,又稱之為肉瘤。港怡醫院骨骼肌肉腫瘤中心總監、骨科名譽顧問醫生蘇鎰昌指,骨骼和軟組織肉瘤在港並不算常見,因此跨專科團隊對於診斷和治療都十分重要。
蘇鎰昌續指,骨骼肉瘤即長於骨髓、骨骼或者骨膜的肉瘤,而軟組織肉瘤則表示病變來自脂肪、肌肉、纖維等軟組織。兩者在港每年合共約有二百多宗新症,而患者年齡分布廣泛,由兒童到長者都有。
蘇鎰昌認為患者得到正確診斷,可避免錯誤手術,減低擴散風險。
影響活動 或沒痛楚
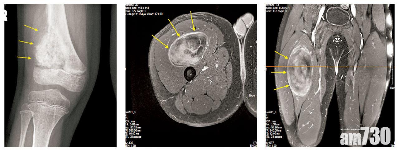
骨骼肉瘤患者常見徵狀是疼痛、腫脹和跛行。蘇鎰昌解釋,「患者的疼痛感開始時多為間歇性,及後會續漸加重至持續性;而疼痛部位可出現腫脹和腫塊,伴有壓痛感,當腫塊增大更可能影響關節活動幅度;如腫瘤出現在下肢,患者或有跛行情況,病情惡化的話或出現關節積液、病理性骨折等問題。」至於軟組織肉瘤,則會有不明腫脹或腫塊,如在一、兩個月便增大一倍就要小心。「最擔心是有一半個案並沒痛楚,會使患者掉以輕心沒有及時求醫。」
不當手術致不必要風險
由於骨骼肉瘤及軟組織肉瘤並不常見,一般人包括醫護人員的警覺性都會較低,因而誤診風險較高,繼而在沒有適當的影像檢查或者病理檢查之下,施以不當的手術。蘇鎰昌表示這會帶來不必要風險,「因為手術中途或會令癌細胞擴散,令往後再接受手術治療的複雜性大大提升,患者甚至需要截肢,存活率也有可能受影響,因此診斷此症必須審慎。」
骨骼肉瘤和軟組織肉瘤在香港不常見。
充足認知助斷症
蘇鎰昌建議,要正確診斷骨骼肉瘤及軟組織肉瘤,跨專科團隊包括骨科(腫瘤)醫生、放射診斷醫生及病理科醫生,都要對此症有充足認知,並緊密溝通與合作;當有可疑腫塊,應作進一步影像診斷如磁力共振、正電子掃描等,「做活檢亦應先制訂手術計劃,因萬一確診肉瘤,手術亦須於活檢同一傷口處開刀,減低擴散風險外,亦確保手術安全和有效。」
部分患者除手術外,亦需要作輔助治療,例如高惡性的軟組織肉瘤,大多需要放射治療;如屬骨細胞肉瘤,更要作長時間化療才可。
先電療後手術
六十多歲的Ava,兩年前發現自己膝蓋上方內側有小腫塊,向普通科醫生求診,醫生認為是良性腫瘤,轉介至公立醫院,但要排期一年。Ava為更早確定病情,向外科專科求診,醫生照超聲波及磁力共振後,認為是良性靜脈腫瘤,安排手術切除。但手術中途,醫生發現腫瘤可能為惡性,最後切除部分腫瘤後中止手術,而病理報告亦確定為惡性腫瘤。Ava擔心癌細胞擴散,也害怕需要截肢,再向不同醫生求診,最後在兩個治療方案間,決定先接受5個星期電療,再以廣泛切除手術治療,現已切除整個肉瘤,康復進展良好。









