骨科專科李崇義醫生
膝蓋關節在行路時「啪啪聲」,千萬不要輕視,這可能是膝關節退化先兆,尤其是肥胖人士,患上膝關節炎的風險比一般人高兩倍。有骨科專科醫生指出,當膝關節退化到影響日常生活,便應及早接受治療,例如透過半膝關節置換手術,可以保留到患者正常的組織,減低不必要創傷,讓患者生活盡早重回正軌。
肥胖人士做重複動作 退化風險高5倍
香港中文大學2019年一項調查顯示,本港大約4成30歲以上人士有膝關節痛問題,相對20年前同類調查,結果翻倍。骨科專科李崇義醫生認為,這或與身體過重有關:「體重每增加一磅,膝蓋承受的壓力會多4至5倍,若然肥胖人士經常進行重複性動件,患上退化性膝關節炎的風險更高5至6倍。」他補充,年紀愈大及運動創傷也是造成膝關節退化的主要原因,必須及早正視。
60歲的陳先生(化名)正值退休之年,身型略胖,有次旅行時他的膝蓋有不尋常痛楚,以為只是行路太多之故,因此只服用一些止痛藥便了事。回港後,他意識到膝蓋痛楚加劇,上落樓梯特別疼痛,連去洗手間也有困難,於是決定求醫找出原因。醫生診斷後發現,他的膝關節出現中至嚴重程度退化,較溫和的治療手段已無法應對,需要進行膝關節置換手術才能根治。
走路「啪啪聲」 漸退化成無法屈曲
事實上,並非很多人意識到膝關節退化的嚴重性,甚至認為是「必然的過程」。李醫生指出,膝關節在病發初期,走路時會有「啪啪聲」,漸漸會出現疼痛感覺,此時便應尋求治療避免惡化,否則膝關節會腫脹及無法屈曲,影響活動能力及社交生活。他表示,如能在輕至中度退化階段展開治療,治療手段相對溫和,例如物理治療及處方消炎止痛藥物,均能延緩關節退化。
當膝關節的軟骨嚴重磨蝕,甚至出現骨磨骨情況,屆時患者就要接受關節置換手術。李醫生指出,過去較常用的「全膝關節置換手術」,成效顯著,但它的缺點是,即使患者不是整個關節出現退化,也得把全個關節換走,一併把正常組織完全移除,對患者而言並非最大效益,故衍生出「半膝關節置換手術」,只換走需要移除的部份,保留健全的組織。
半膝關節置換保組織 助走路回復自然
李醫生稱,「半膝關節置換手術」保留了患者正常的十字韌帶及相關組織,創傷性較低,傷口小及復原時間較快,部份患者術後3天已能出院,再次走路時其姿勢更比「全膝關節置換手術」來得自然,大約9成患者能使用人工半膝關節至少10至20年。他補充,患者在術前不妨鍛鍊大腿肌肉、減重,術後接受物理治療,這皆有助於加速癒合能力。
最後,李崇義醫生提醒患者,應對退化性關節炎有不同方法,各有成效、副作用及風險。患者應與醫生多討論,按個人情況包括身體狀況、病徵等因素選擇最合適的方案。
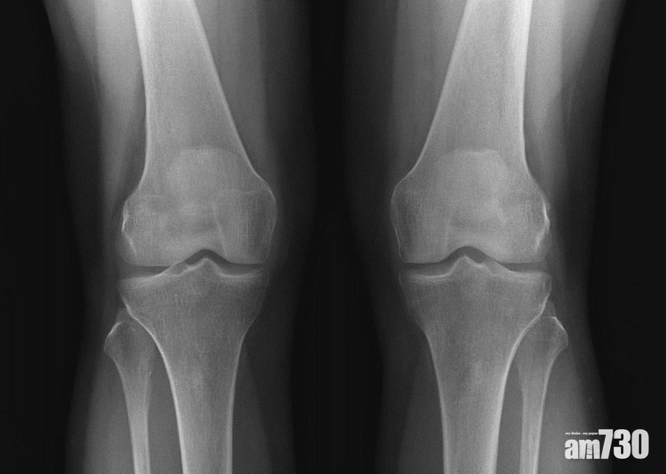
退化性關節(左)的軟骨層遭磨蝕,距離較正常的關節(右)少,嚴重可出現骨磨骨的情況。(圖片由醫生提供)
半膝關節置換(右)保留了健康的組織,患者康復後走路的姿勢更自然。(圖片由醫生提供)









