牙齒貼片 助改善外觀
牙齒是外觀的重要部分,有些問題單靠洗牙並不足以解決,卻又不一定需要複雜的牙科治療,而可以用「貼片」解決——即在牙齒表面黏上一層薄薄的修復材料,改善牙齒的外觀、形狀或顏色。
牙科醫生文鉅生指出,牙齒貼片的材料可以是陶瓷、複合樹脂或其他材質,「由於每個人的牙齒都是獨一無二的,牙醫需要根據個人的牙齒大小、形狀、齒縫去度身訂造適合的貼片形狀。」
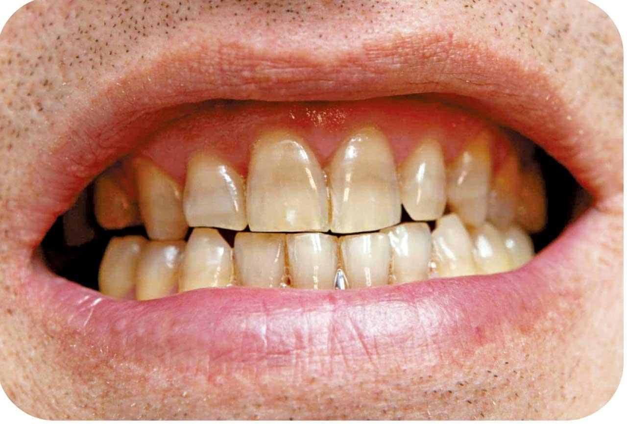
恆齒發育期間使用四環素的話,牙齒或變黃變黑。
解決5類問題
貼片可處理哪些常見的牙齒問題呢?文鉅生舉例表示:
1. 對於因飲食、吸煙或藥物等外在因素導致的牙齒染色,貼片能夠很好地掩蓋這些瑕疵。
2. 有些人在恆齒發育期受到抗生素四環素的影響,導致牙齒變黃變黑,這種情況無法通過牙齒美白解決,而貼片則可以有效改善其外觀。
3. 如果牙齒表面存在不平整、缺損或裂紋等,貼片可以有效地修復這些缺陷,使牙齒表面重新變得光滑平整。
4. 對於先天性或後天性的牙齒形狀不規則或大小不一的問題,貼片能夠調整牙齒的外在形態,使其更加勻稱、美觀。
5. 如果牙齒間存在縫隙,貼片可以填補這些空隙,使牙齒看起來更加緊密、自然。
兩種常用材質
目前常用的陶瓷貼片和複合樹脂貼片當中,「陶瓷貼片以高強度的瓷材製成,具有與天然牙齒相似的特性,同時也具備高度的耐用性。而複合樹脂貼片則是以高分子複合材料製成,製作過程較快,價格相對較低,但其耐用性不如陶瓷貼片。」
文鉅生進一步表示,陶瓷貼片與天然牙齒的相似度非常高,此外陶瓷材料擁有耐磨損和耐腐蝕性能,使用壽命長,且不易染色,能夠長期保持穩定的色澤。同時,陶瓷貼片的生物相容性良好,不易引起過敏反應。然而,與一般的樹脂貼片相比,陶瓷貼片的價格相對較高。此外,如果患者有磨牙的習慣,可能會導致陶瓷貼片與牙齒之間的黏接面受到破壞,進而增加脫落的風險。
文鉅生指牙齒貼片有效改善牙齒外觀。
按需求及預算選擇
「所以,為了讓陶瓷貼片更好地貼合牙齒,牙醫常需要磨去患者少許的牙齒組織。但考慮到陶瓷貼片的穩定性、生物相容性,以及不易變色且堅固的特性等,仍然是一個不少人會考慮的選擇。」文鉅生提醒,選擇適合自己的貼片材料需要考慮個人的需求、預算以及牙醫的建議。
保養有法
陶瓷貼片後,患者需要保持良好的口腔衛生習慣,包括定時刷牙和使用牙線,以維持貼片的潔淨和健康。同時,應避免咬硬物,以免對貼片造成損傷。此外,定期接受口腔檢查和洗牙也很重要,因為這有助及時發現和處理可能出現的問題。如果發現貼片出現鬆動、脫落或破損的情況,應盡快就醫。最後,建議避免攝入過多的易染色食物,如咖啡、茶和紅酒等,以減少貼片染色的風險。









