閱讀時出現文字模糊、影像扭曲,甚至中央視野有黑點?不少人以為只是老花或眼倦所致,但原來可能是「老年黃斑病變」的早期徵兆!眼科專科葉佩珮醫生提醒,老年黃斑病變對中央視力的損害多為永久性,尤其「濕性」病變惡化極快,一旦錯過治療黃金期,可於短時間內嚴重影響閱讀、辨識人臉等日常能力,因此及早認知與定期檢查至為重要。
眼科專科葉佩珮醫生
成因與高危因素:年齡、吸煙、紫外光
本港頭號致盲殺手之一「老年黃斑病變」,是一種和年齡相關的黃斑區退化疾病,主要影響50歲以上人士。黃斑區位於視網膜中央,是感光細胞最密集的區域,負責精細的中央視力,例如閱讀、辨認人臉及駕駛。葉醫生指出,全港有五十多萬人患上老年黃斑病變,患病情況相當普遍。人口持續老化,患病率逐年增加,成為本地重要的公共健康問題之一。吸煙人士患病機率比一般人高於兩倍。被動吸食二手煙亦會增加患病風險,即使戒煙亦需約20年才回復正常風險水平。其他高危因素則包括長期暴露於紫外光、有家族病史、三高及心血管疾病、營養不均衡者。
黃斑區位於視網膜中央,是感光細胞最密集的區域,負責精細的中央視力,例如閱讀、辨認人臉及駕駛。
乾性VS濕性 分清類型對症下藥
老年黃斑病變可分為「乾性」及「濕性」兩類。乾性病變佔九成,黃斑區細胞底層因退化積聚了代謝沉積物,阻礙養分供應,導致感光細胞逐漸萎縮。雖然病情發展緩慢,但嚴重時可引致「地圖樣萎縮症」(視網膜細胞逐漸退化及喪失,形成邊界清晰的萎縮區,逐漸損害及永久喪失中央視力)。濕性病變雖僅一成,但病情較急劇,原因為細胞缺氧導致血管增生。當血管滲漏出血,引發水腫、發炎、甚至結疤,視力可在短時間內急降,若沒有在治療黃金期及時處理,可導致無法逆轉的視力喪失。
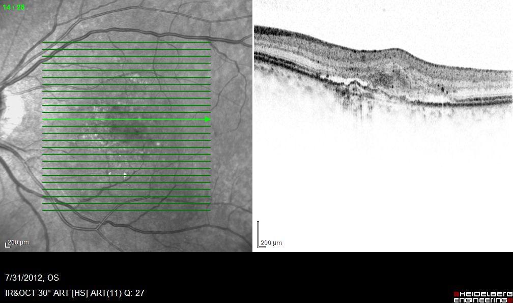
醫生透過散瞳眼底檢查及「光學相干斷層掃描」,診斷黃斑區水腫、出血或萎縮情況,來掌握病情變化。
初期症狀不明顯 把握黃金期保視力
老年黃斑病變在初期往往沒有明顯症狀,由於雙眼可互相補償視力,患者未必即時察覺異常。隨病情發展,可能出現視力模糊、中央暗點或影像扭曲等情況。葉醫生建議定期使用「阿姆斯勒方格表」進行自我檢查:單眼凝視中心點,觀察方格線條是否出現扭曲、中斷或變形。若發現異常,應儘快求診,以免錯過治療黃金期。
醫生會為病人進行進一步眼底檢查及掃描,以判斷黃斑區是否有異常情況。若屬濕性病變,需在黃金期內注射「抗血管內皮生長因子」藥物,以抑制血管增生及滲漏。至於乾性病變,目前尚無藥物可逆轉病情。
「AREDS2維生素」成乾性黃斑病變患者新希望
葉醫生指出,近年由美國國家眼科研究所進行的大型眼疾研究「老年眼疾研究2」(AREDS2)證實,高劑量營養補充劑可減低中至晚期乾性老年黃斑病變惡化及轉化為濕性的風險。AREDS2維生素配方包含維他命C及E、鋅、銅、葉黃素和玉米黃質素,具抗氧化、抗炎功效,有效阻隔藍光,保護視網膜細胞免受氧化壓力損害,延緩病情惡化。研究顯示,對於患有中或晚期患者,持續服用AREDS2維生素可顯著降低中央視力喪失的風險,甚至在晚期患者中,也能減慢嚴重乾性老年黃斑病變,「地圖樣萎縮症」進入黃斑中心區域的速度,延長中央視力功能。
葉醫生強調,無論乾性或濕性,由於老年黃斑病變暫時不能完全根治,現時對付病變的治療目標為「延緩惡化,保存視力」,因此患者應及早正視,與醫生制定個人化方案,積極監察,減低永久視力損害風險。
醫生提醒服用前應諮詢醫生,避免與其他藥物產生交互作用,切勿自行混合服用。
(特約分享)









