健康的頸椎,是行動自由的關鍵,平時可如何預防頸椎病變呢?
一名退休後依然活力十足的李伯伯,平時喜歡到處走動。在一次運動前熱身扭動脖子時忽然感到劇烈疼痛,隨後不適感延伸到肩膀。家人帶他輾轉求醫,試了多種止痛藥,但情況不見好轉。一周後,他的雙腿已完全無力,只能坐著輪椅來到醫院門診就醫。
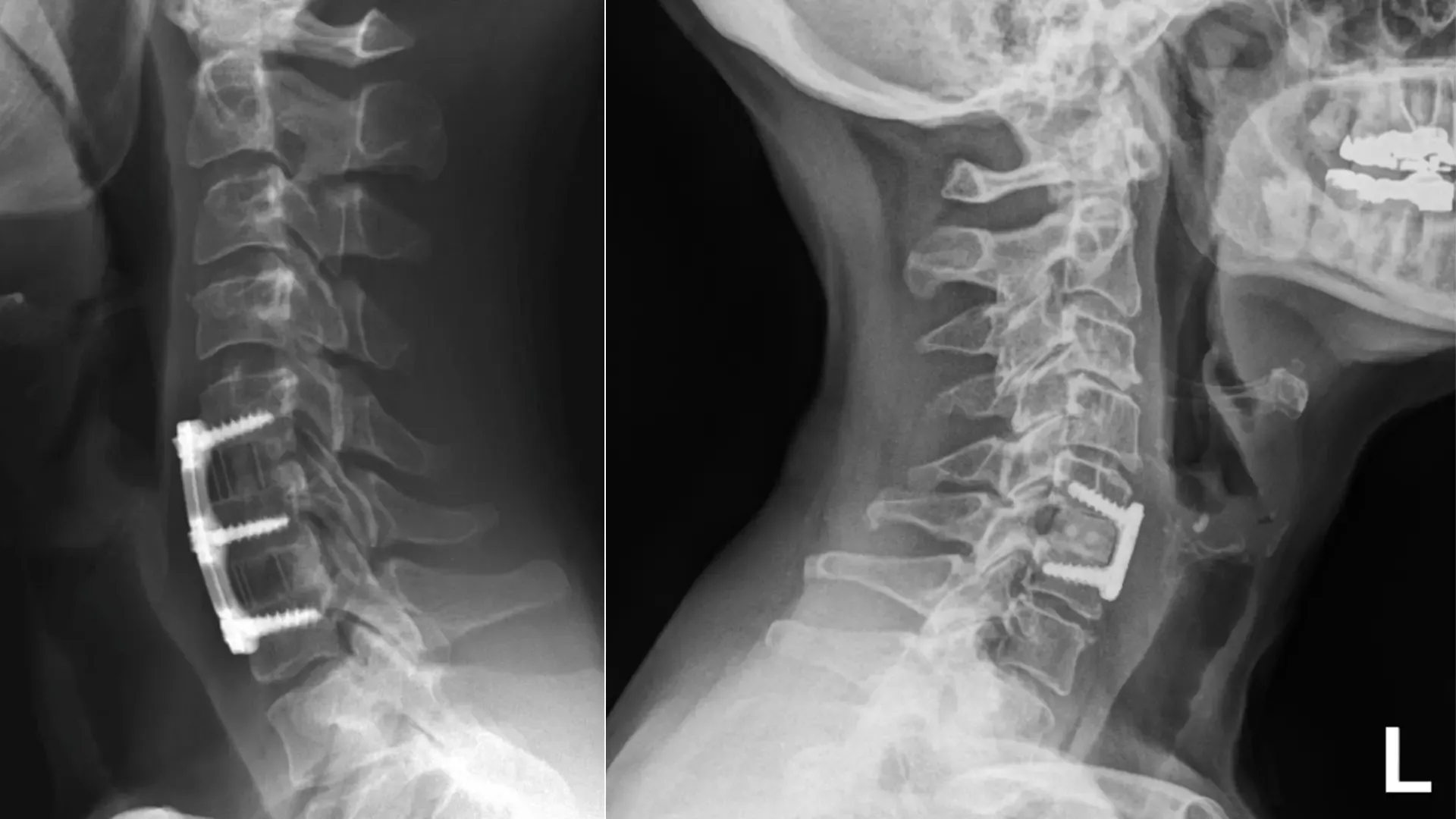
「頸椎椎間盤突出」壓迫脊髓神經 缺血變色下肢無力
柳營奇美醫院神經外科醫生呂忠哲經詳細評估,判斷是頸椎脊髓神經病變導致下肢無力的症狀,隨即安排住院檢查,在磁力共振掃描檢查顯示,頸椎椎間盤突出壓迫脊髓神經,已被壓到只剩一條極細的通道,神經因缺血已變色,情況十分危急,因此立即安排手術,清除壓迫神經的椎間盤,並針對頸椎滑脫進行融合固定。
由於神經壓迫嚴重,手術過程充滿挑戰,但最終經醫療團隊努力成功完成該項手術。當李伯伯手術醒來後,他的雙腳神經功能正常,也讓團隊鬆了一口氣。手術後,李伯伯積極配合復康治療,還規劃自己的課表,從助行器開始慢慢練習行走,僅一個月後時間,他已經不需要助行器,恢復到輕快的步伐,讓家人欣喜萬分。
頸椎椎間盤突出壓迫脊髓神經,可導致下肢無力的症狀。
頸椎手術方式多 應與醫生討論適合方式
頸椎手術方式多樣,目前主流方式包括人工椎間盤置換術和頸椎融合固定術。兩者主要差異在於人工椎間盤置換術保留頸椎活動性、復原較快,但不適合骨質疏鬆或脊椎滑脫的患者;頸椎融合固定術則適用於結構不穩定的情況,但術後活動角度較差。因此醫生會根據病情與病人討論,並選擇適合的治療方式,有效改善症狀並提升生活質素。
頸椎手術方式多樣,目前主流方式包括人工椎間盤置換術和頸椎融合固定術。
頸部伸展運動有助放鬆肌肉 降低發生頸椎病變機會
健康的頸椎,是行動自由的關鍵,平時可如何預防頸椎病變呢?呂忠哲表示,首先,保持良好的姿勢相當重要,應盡量避免長時間低頭,坐姿保持背部挺直,肩膀放鬆。也要避免長時間保持相同姿勢,由於長時間維持同一姿勢會加重頸部壓力,每隔一段時間,起身走動或進行頸部伸展運動,有助於放鬆緊繃的肌肉,預防疲勞和退化。其次,要保持正確的睡眠姿勢,選擇合適的枕頭,枕頭的高度應該使你的脖部保持自然的曲線,另外需避免長時間趴睡。最後,可藉由適當的運動來強化肩頸肌肉,以加強頸部支撐,就能有效降低發生頸椎病變的機會。
【本文獲「健康醫療網」授權轉載。】









