醫療團隊進行長達3小時的緊急微創手術,替男子取出卡食道的手錶和腸道裡的異物。(互聯網)
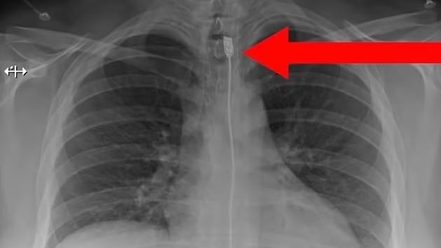
又一異食癖的誇張案例……英國《鏡報》等媒體報道,印度齋浦爾(Jaipur)一名34歲男子因劇烈腹痛、無法飲水進食,本月9日被家人送往醫院急症室就診。醫生替他做X光等檢查,驚見他食道裡竟卡著一隻手錶,大腸裡還有多塊鐵片、螺絲帽、螺絲、繩子、吊墜等物品,讓醫療團隊十分驚訝。
醫療團隊隨即進行長達3小時的緊急微創手術,先在男子腹部開一個小切口,再用儀器將男子食道和腸道裡的所有異物取出。
手術過程被拍下,醫生從男子腹部小切口拉出手錶的一刻,眾人都驚訝不已。
報道指,手術後,男子康復進展良好,暫未清楚他為何吞食手錶、鐵片等異物。













