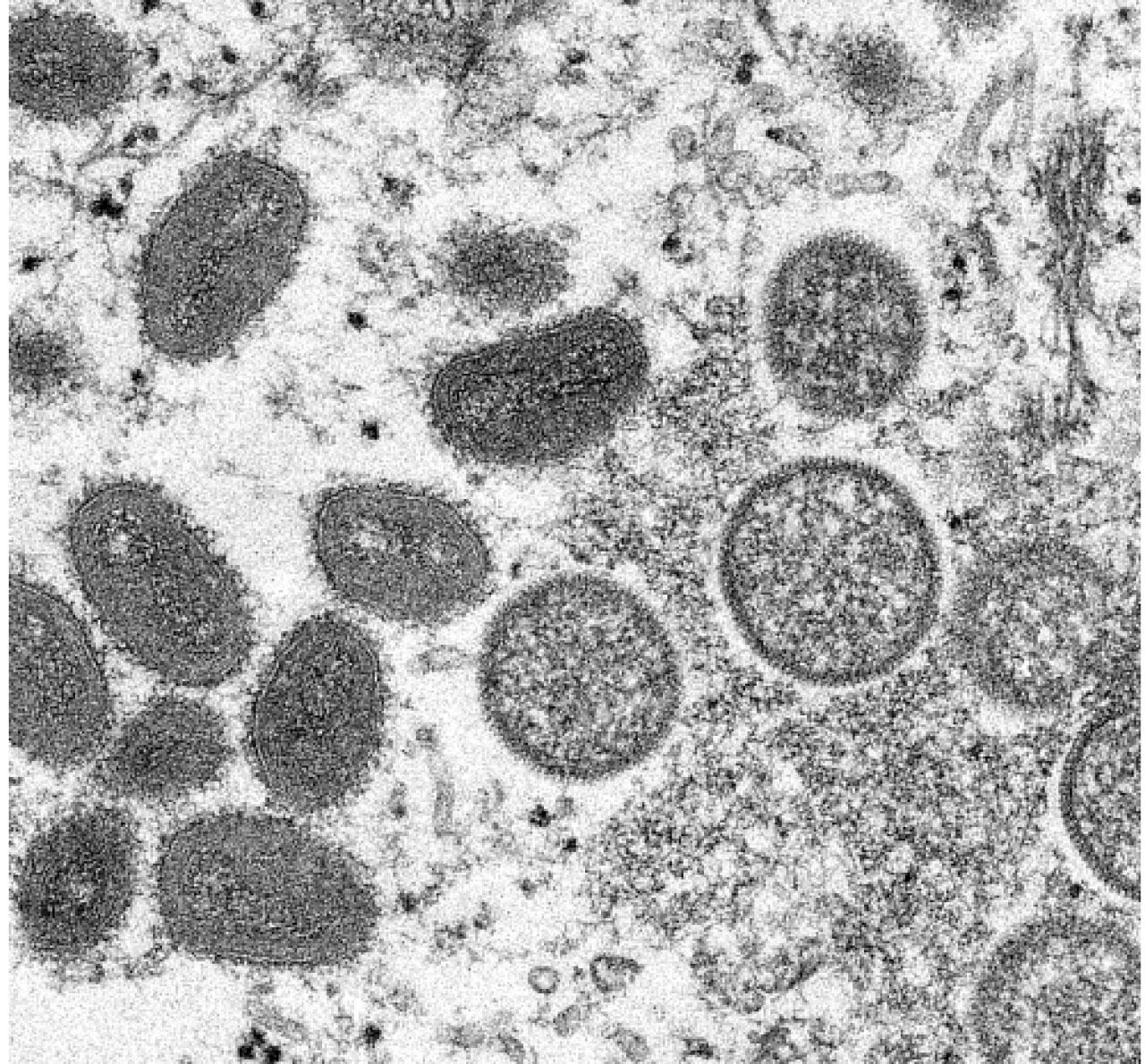
歐美國家最近錄得多宗在中非和西非流行的猴痘(monkeypox),全球迄今出現120宗確診或懷疑個案。世衛指截至上周六於12個成員國錄得92宗確診、28宗懷疑個案,隨著各地政府的密切監察料個案會上升,該組織未來數天將提供控制猴痘傳播的建議和指引。南半球澳洲和中東地區以色列上周亦首現個案。
英國傳媒稱,當地有20宗個案,大部分在西班牙感染,與馬德里一間桑拿浴室有關,西班牙上周五累計30宗個案。瑞士和以色列上周六同現首宗個案,瑞士稱患者有發燒和出疹,「曾在海外與患者有密切身體接觸」,現在家隔離。以色列首宗個案患者為三十多歲男性,是中東地區首現確診,患者從海外回國,當局呼籲曾出國人士如果發燒和身體現損傷應前往求醫。荷蘭、德國、葡萄牙、意大利、瑞典、法國和比利時等歐洲國家,以及北美國家美國和加拿大等也相繼現確診,奧地利一名35歲男子昨也疑似感染。據悉,目前個案很多在性病診所發現。世衛傳染病專家認為,今次猴痘在各地傳播,相信是從「性接觸」傳染。英國性健康和HIV協會稱,英國部分診所員工已接種天花疫苗,可有效預防感染猴痘,也研究讓「高風險群組」接種。猴痘與天花來自同一病毒家族,但病徵較天花溫和,通常兩至四周便痊愈,毋須入院,惟也出現過死亡個案。
專家:香港風險較低
本港衛生防護中心傳染病處首席醫生歐家榮表示,目前猴痘疫情集中在歐洲,初步評估對香港的風險較低。他指今次爆發主要影響較年輕的男子,部分是男男性接觸者,病徵包括生殖器官破損,推斷猴痘或經性接觸傳播。他表示,本港有港口衛生措施,會安排患者入院隔離,也會密切留意情況。港大感染及傳染病中心總監何栢良亦稱,猴痘傳入香港風險較低,市民不用過於擔心。但他提醒若屬男同性戀者,近日到過歐美等國,並曾與人有性接觸,便要提高警覺。








