性上癮|醫生從少年陰莖取出的電線。(互聯網)
精神病學期刊《Psychiatry Research Case Reports》刊登了一個案,指斯里蘭卡一名17歲少年,因下腹疼痛和排尿困難求醫。X光一照發現他陰莖有異物,醫生最後從其陰莖取出一條8吋長電線。個案刊登在精神病學期刊,因少年向醫生坦承為了性快感,塞異物入陰莖,並沉迷其中,每天這樣自慰3次。醫生將他轉介到精神科醫生治療這種塞異物的「性癮」。
性上癮|忍痛9天才求醫
報道指那名少年忍痛9天才去求醫,醫生為他取出電線後,他沒有其他健康問題。他入院後數天才告訴醫生,在過去兩年來一直有這種自慰習慣,通常都能夠取出異物。他出現自慰上癮的跡象,承認每天這樣做3次,想「斷癮」但卻難以自控。塞異物入生殖器官非常危險,有機會引起嚴重感染,導致膀胱組織壞死。據悉,那名少年有社交恐懼並害怕拍拖,心理醫生向那名少年開了一種抗抑鬱藥,治療他的性欲錯亂症,但自他出院後與其失去聯絡,他也未有再尋求心理治療,未知他能否控制性癮。
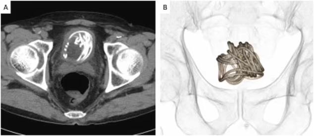
性上癮|日本老翁更嚇人90吋跳繩塞入陰莖
報道指,日本去年11月一個案更加嚇人,一名79歲老翁將90吋長的跳繩塞入陰莖,結果在膀胱內打圈塞住。由於要取出的難度極高,醫生甚至要靠電腦3D圖模擬如何在膀胱開刀取出跳繩。雖然老翁並沒有向醫生解釋為何塞繩入陰莖,但相信他是為了性快感。有英國醫生說,這是他聽過最極端的個案。








