
腹部脹大以為肥咗,開刀竟取5公斤重卵巢瘤。(網上圖片)
意大利一名52歲女子的腹部極度腫脹,她以為自己只是太胖,結果出現便秘及行走困難,決定前往就醫,才發現患有卵巢囊腫,腫塊還重達近5公斤,取出腫塊後在醫院住了2個月。
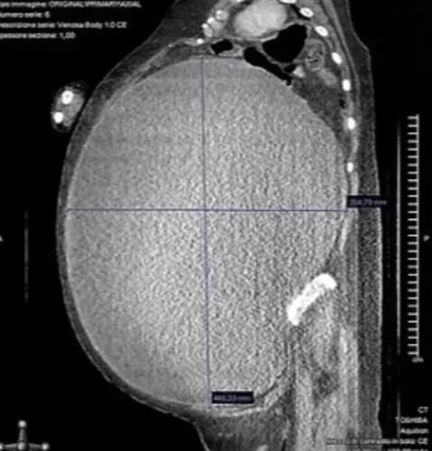
綜合報道,CT診斷發現,女子罹患邊緣性卵巢瘤(Borderline ovarian tumor,BOT),腹部完全被腫瘤佔據,醫生在進行子宮切除術前,排出了囊腫中37升的濃稠棕色液體,經過6個小時手術,才成功取出腫塊,女子期間失血6公升,手術後她住院留醫了2個月,一半時間都待在加護病房,還曾發生了心臟驟停。研究人員說,2年後,女子完全康復,沒有任何疾病。該病例報告近期發表在《美國病例報告雜誌》上。

CT診斷發現,女子罹患邊緣性卵巢瘤(Borderline ovarian tumor,BOT),腹部完全被腫瘤佔據。(網上圖片)
大多數女性都不知道自己有囊腫
報道提到,大多數卵巢囊腫都是無害的,大多數女性都不知道自己有囊腫,除非照掃描。不過,如果囊腫破裂,可能會讓背部或下腹部劇烈疼痛、腹脹、噁心等。大多數的卵巢囊腫都是良性的,少數惡性囊腫會出現在更年期婦女身上。專家估計,十分一的美國女性曾經歷過卵巢腫瘤,約5%至10%女性曾接受過手術。