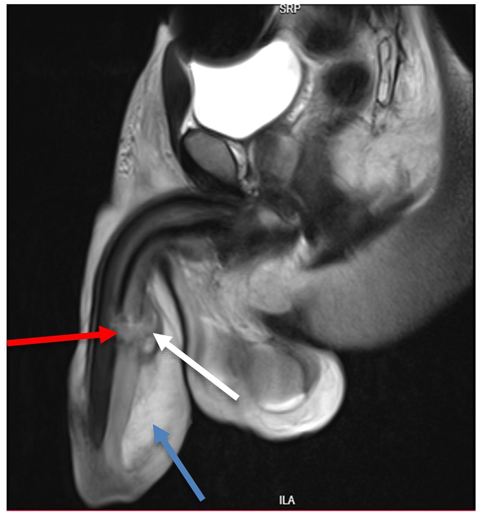
一名男子在行房時陰莖不慎撞斷,有三處受傷。(圖/翻攝自ScienceDirect)
記者彭巧蓁/綜合報道
錐心之痛!坦尚尼亞一名男子在與女伴行房時,因為一個用力過猛不小心讓「子孫根」撞到女伴的會陰處,結果竟然造成「陰莖骨折」,斷成三截。所幸男子在就醫進行手術後恢復良好,沒有對性生活造成影響。
數年間陰莖骨折病例增近四成
這個病例被發表在《國際外科病例報告期刊》(IJSCR)上,男子的主治醫師表示,他在行房過程中陰莖滑出女伴的陰道,當他想再度插入時,卻因為用力過猛,導致充血的陰莖撞到對方的會陰。當下在發出一聲清脆的喀啦聲後,男子隨即劇痛難忍,只好就醫救助。
據悉男子在抵達醫院時,陰莖已有腫脹流血的現象。醫師為他進行CT掃瞄後發現有三處斷裂,所幸在手術之後恢復良好,男子三天後就出院,六個月後回診時,他告訴醫師已恢復性生活,沒有受到影響。
根據《紐約郵報》報道,雖然陰莖沒有骨頭,但當其纖維結締組織(稱為白膜)受傷或破裂時,就被稱為「骨折」。過去陰莖骨折通常被認為是一種不常見的情況,因為許多男性都不好意思就醫,沒有人知道它到底有多頻繁發生。然而,根據英國國家衛生局的統計數據,近年來陰莖骨折的病例正在上升,據《太陽報》報道,該數據顯示,從2014年到2020年,這種情況竟然增加了38%。醫生推測,可能是由於現在男性服用勃起功能障礙藥物的比例增加,或是獵奇色情影音內容的影響。
約翰霍普金斯醫學中心警告,陰莖骨折不容忽視,因為它可能會導致勃起功能障礙、排尿困難等,若沒有及時治療將對性生活及排尿造成永久性的後遺症。
文章授權轉載自《中天新聞網》,按此查看原始文章



