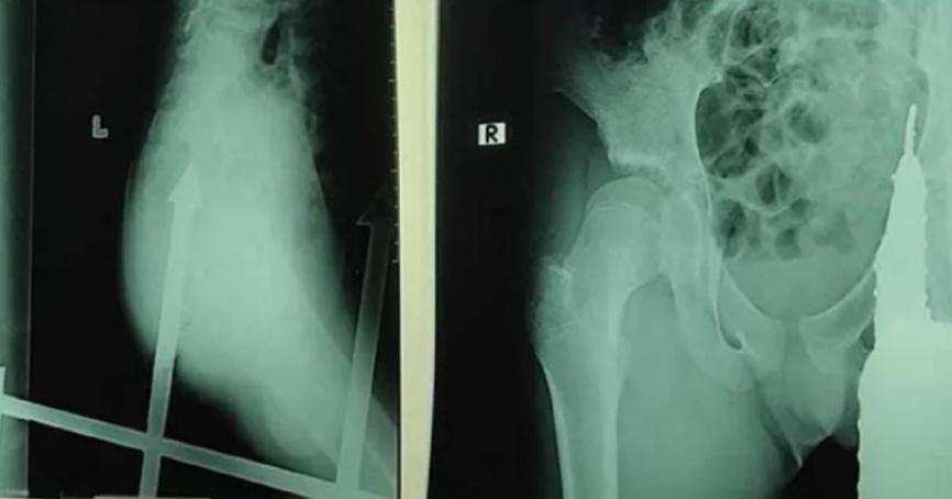
12歲童爬圍欄20厘米鐵枝直插屁股,連人帶欄送院治理。(網上圖片)
常言不應將子女獨留家中,免生意外。大馬雪州一名12歲男童就趁家人不在,攀爬家中的籬笆圍牆,詎料失足令一支長約20厘米的鐵支插入屁股,男童當場痛到哀號,場面怵目驚心。
綜合報道,事件發生於周一(5日) 雪州斯里大港,事件中的12歲男童趁著母親不在家,攀爬家中籬笆圍牆,不慎失足,導致一支長約20厘米的鐵支插入屁股,男童頓時痛得嚎啕大哭,驚動鄰居報警求助,由於鐵刺插進體內,男童無法脫困,只能保持同樣姿勢不敢亂動,直至救護人員到場作評估後,決定花20分鐘將籬笆鋸斷,連人帶欄送院處理。
鐵刺險傷肛門 未提及其他器官有否受傷
男童在醫院隨即照X光,醫生指,鐵刺插入男童臀部後,距離肛門只有少少距離,因此立刻進行手術,將鐵支移取。目前男童無生命危險,但未提及是否傷及其他器官。














