癌症|醫學期刊最近一宗刊登個案,指一名馬來西亞女子持續咳嗽6個月,最終診斷患上癌症。(資料圖片)
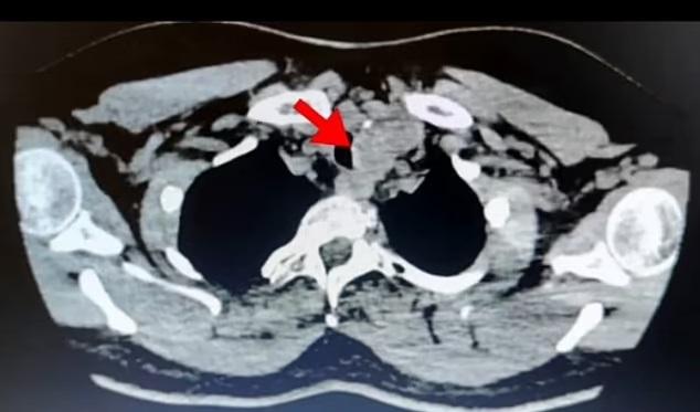
馬來西亞一名54歲女子持續咳嗽6個月,最後甚至咳出血,她這時才求醫。醫生為她染血又沒有感染或異常,其他檢查也沒有任何發現,最後從腹部至頸部做電腦掃描,發現甲狀腺(thyroid gland)擴大,再用支氣管內窺鏡超聲波檢查,終於找到「原兇」——甲狀腺有凸起物體,切片化驗後證實屬惡性腫瘤,診斷患了乳頭狀甲狀腺癌(papillary thyroid cancer)。
癌症|無發燒無呼吸困難 醫生須「高度存疑」才診斷出
此個案刊登於醫學期刊《 American Journal of Case Reports》,醫生指咳血並非乳頭狀甲狀腺癌常見的初期徵兆,需要「高度存疑」和經過全面檢查才會診斷出。咳血是肺癌、支氣管炎和肺炎的常見病徵。該名女病人並未有發燒,也沒有呼吸困難或其他病徵,但她有曝露於輻射的歷史,那是導致甲狀腺癌的高危因素,其親屬並未有人患過甲狀腺癌。
醫生觸摸該名患者頸部並未發現腫脹或腫塊,檢查顯示甲狀腺功能亦正常。連串檢測都找不到原因,最後做電腦掃描和超聲波檢查才發現甲狀腺擴大並局部壓著氣管,以及有很多小瘤,而小瘤有鈣化細點,是癌症明顯徵狀。鑑於腫瘤的體積大,並懷疑癌細胞已擴散到附近周圍,那名女患者需切除整個甲狀腺。在手術後,該病人亦需接受兩輪放射治療。甲狀腺位於頸前方,負責調節身體的新陳代謝,分泌荷爾蒙控制身體使用能量的速度和製造蛋白質等。
癌症|甲狀腺癌成因不明 肥胖增加患上機會
甲狀腺細胞內的DNA基因突變,導致其失控增長並產成腫塊,引發甲狀腺癌。有關基因突變成因不明,但甲狀腺炎、肥胖、家族有甲狀腺癌病史、孩童時期接觸輻射(如接受放射治療)、罕見的肢端肥大症(acromegaly),以及腸臟的家族性腺瘤性息肉病等因素,均會增加患甲狀腺癌風險。























