嘉道理農場接收受傷鳳頭鷹(嘉道理農場FB圖片)
嘉道理農場暨植物園近日接收了一隻翅膀受傷的鳳頭鷹,意外發現其右腿被氣槍鋼彈擊中,身體多處受傷。
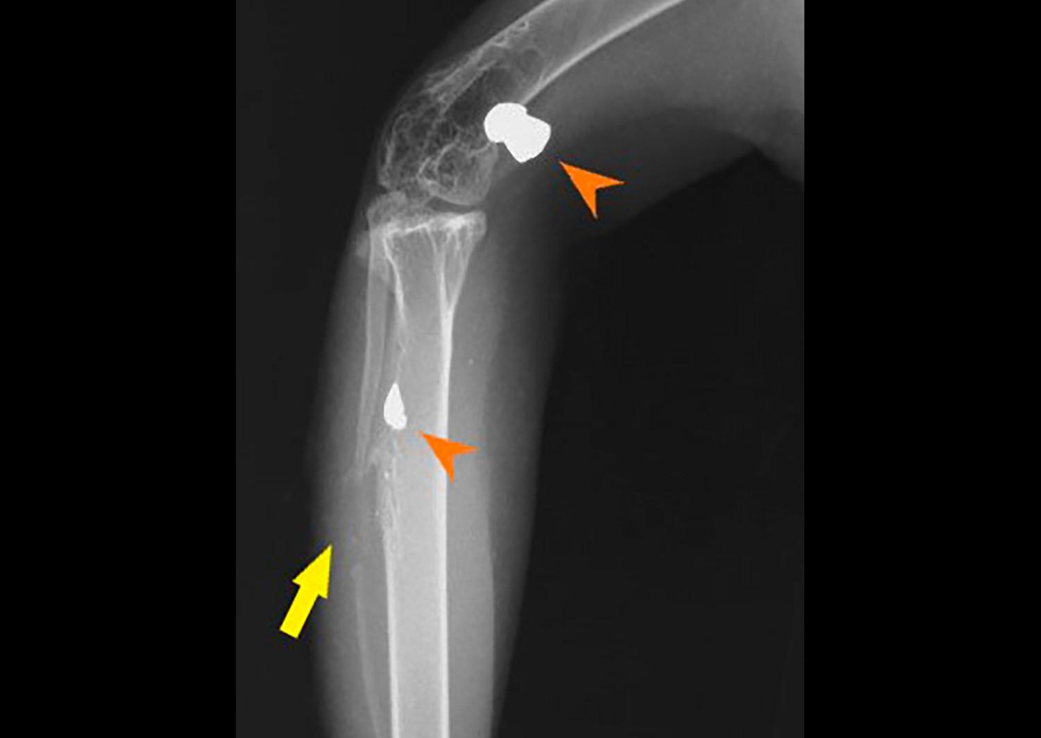
該隻鳳頭鷹最近因翅膀受傷,被送到園方的野生動物拯救中心。在進行X光檢查時,團隊發現牠的腿部隱藏著另一處傷勢,牠的右腿曾被氣槍鋼彈擊中。衝擊力不但打斷了右腓骨,還使鋼彈碎裂,一塊較大的碎片移動到去膝關節,另一塊較小的碎片則嵌入脛跗骨中。園方分析這個傷勢已經有一段時間,令人意外是該隻鳳頭鷹仍能正常使用牠的腳和爪。
鳳頭鷹目前康復進度良好
園方通過一個小的皮膚切口,輕鬆取出較大的鋼彈碎片;至於較小且深的碎片,則因移除的風險大於好處,而被保留下來。經過幾天的傷口處理後,資深獸醫為鳳頭鷹受傷的翅膀進行了修復手術。鳳頭鷹目前康復進度良好,並正在進行康復訓練,為重返大自然做好準備。



















