小雪兒的媽媽Amy在無綫節目《東張西望》中受訪表示,女兒獲院方安排接受重置頭骨手術。(《東張西望》畫面)
屯門9個月大女嬰「小雪兒」年初疑遭社區保姆在照顧期間虐待,致昏迷及嚴重腦出血,手術後頭骨被取出。雪兒媽媽接受電視節目訪問時指出,最新素描顯示女兒的左腦正萎縮,獲安排於今日(3日)早上於屯門醫院進行重置頭顱骨手術,她指手術雖然屬於高風險,有機會危及生命,但沒有辦法不做,「我一定要醫返好佢」,冀全城集氣祝福女兒渡過難關。
「香港關懷力量」團隊今午在社交平台宣布小雪兒經歷3小時多的手術後,其父母向他們證實手術順利完成,小雪兒已甦醒,將繼續在深切治療部留醫觀察。
「小雪兒」於今年1月疑遭社區保姆在照顧期間虐待後昏迷,送院後發現腦部出現大量淤血,需要緊急開腦進行手術,手術後雪兒性命暫保,但因頭骨被取出,腦部只能用皮包住。醫生此前指雪兒情況不樂觀,很有可能永久傷殘及失明。小雪兒的媽媽Amy在昨晚(2日)播出的無綫節目《東張西望》中受訪表示,女兒獲院方安排於今日早上接受重置頭骨手術,由於女兒日漸長大,惟此前開腦取出的頭骨仍維持本身大小,令手術難度倍增。
左腦萎縮需盡快手術
Amy表示,由於小雪兒頭骨距離「拉開咗,有條罅喺度」,院方需要從後腦取一些如手指大小形狀的頭骨,再當成膠布「貼落」頭骨罅隙,但後腦被取走頭骨部份會留下洞,未必能自行癒合,之後要再開腦填補人工物料:「點樣可以送個女入去,鑽到成個頭都係(窿),然後又鎅、又鋸、又縫針,佢只係得一歲咋,就算一個成年人,我諗都冇辧法去接受。」
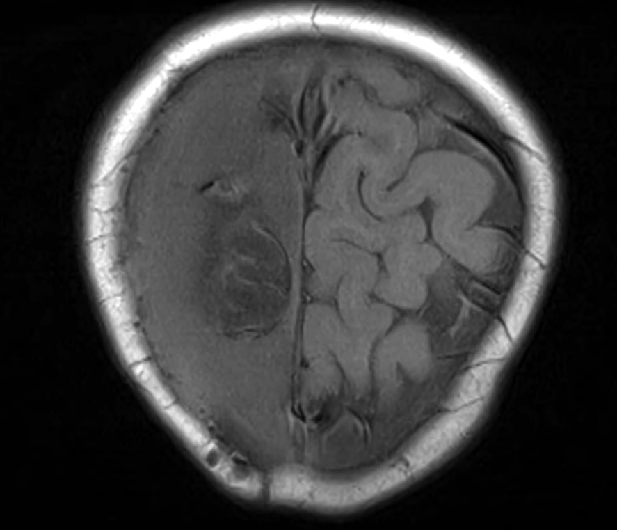
她又指目前還要面對其他問題,之前取出的骨頭儲存於雪櫃,「已冇晒生命」直接可以形容為「死骨」,再填補原位純屬保護作用,該塊骨可能會被身體當作外來物排斥,所以面對極大風險。另外,小雪兒目前腦部情況變壞,最新腦素描影像報告,「右邊紋路可能清晰,左邊則呈一片空白」,顯示左腦萎縮,故需要盡快手術。
「搵盡世界專家一定要醫返好佢」
Amy稱獲醫生准許今日抱着小雪兒入手術室以作安撫,為她全身麻醉,「我唔想佢受苦,本身佢應該正常好開心食零食及玩玩具,但現在要係手術人比人搞到個頭咁樣」。她懇請社會各界有心人一同為雪兒集氣祝福祈禱:「我一定要醫返好佢,我係要拼盡全力、瞓身,都要搵盡世界專家,請求大家去救返個女。」
另外,「香港關懷力量」亦上傳一段影片,多位城中名人錄製影片為小雪兒送上祝福。「天瑜醫療事故關注組」FB專頁亦留言稱「小雪兒加油!祝願一切順利,手術成功,早日康復!」



















