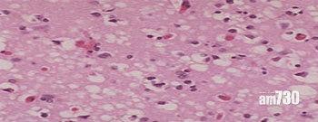
克雅二氏症病人腦部組織切片可見如海綿小洞的損傷。(互聯網)
巴西發現兩宗「非典型瘋牛症」,宣布暫停對華牛肉出口。瘋牛症是人畜共患疾病,在牛身上分為「典型」及「非典型」;人類身上稱為「克雅二氏症」(Creutzfeldt-Jakob disease、CJD),有數個種類,當中「非典型克雅二氏症」才與進食受污染的「瘋牛」有關。
「瘋牛症」又名「牛海綿狀腦病」(Bovine spongiform encephalopathy、BSE),86年在英國首次發現,會令牛隻腦部及脊髓變海綿狀,專家普遍認為與變異的普里昂蛋白(prion protein)有關,高溫烹煮也不能消除。86年發生的瘋牛症疫情,是因英國農民把病牛的肉骨粉,作為補充劑加入飼料中餵牛所引發,被稱為「典型瘋牛症」。「非典型瘋牛症」的牛隻則是自身自然發病。
克雅二氏症可不關牛事
人類身上的類似病症稱為「克雅二氏症」。克雅二氏症潛伏期不明,患者可能在多年以至數十年後才病發,初期會有逐漸失智現象,並漸見走路不穩、行動困難、視力衰退、肌肉抽搐,及其他神經方面的問題。克雅二氏症是致命疾病,目前治療以支援性為主,大部分患者會在症狀出現後一年內死亡。
其中一種克雅二氏症,被稱為「非典型克雅二氏症」,是因進食受瘋牛症污染的牛肉產品而引發,病源主要存在於牛腦、脊髓和視網膜等「高危」組織。克雅二氏症並不等於「瘋牛症」,因有其他類型與跟瘋牛症無關,包括偶發性、家族性及醫源性。偶發性克雅二氏症佔約85%病例,傳播途徑不明;家族性克雅二氏症由遺傳突變基因引起,佔5%至15%病例;醫源性克雅二氏症則經由醫療或手術過程傳播,如人體組織及器官移植等。









