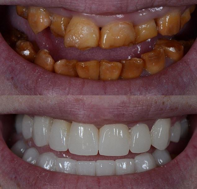
棚牙又崩又黃慘不忍睹,你也會像她般自卑閉咀。新西蘭女子Jacinta Maguire(27歲)患牙釉質發育不全,廿年來身心受創陷抑鬱。澳洲一個牙醫慈善基金知悉窘境後慷慨相助,安排她到墨爾本兩周,接受改寫人生的裝牙套矯齒(費用達45萬港元),而一切費用由基金義助。怪不得美齒Maguire開心到笑不攏咀!

恭喜你!獲取1分 !

