甜飲解暑 小心牙齒侵蝕
天時暑熱,要常補充水分,但不少人更愛喝汽水、台式飲品等。經常飲用含酸性或糖分飲品會使牙齒侵蝕的風險大大提高,我們日常應該要留意口腔衛生,減少口腔與酸性物質接觸,避免牙齒表面的琺瑯質流失。
牙科醫生黃凌旻表示,牙齒表面的琺瑯質是人體最堅硬的組織,覆蓋著牙冠,於咀嚼、咬合時保護牙齒,「琺瑯質由鈣、磷等礦物質組成,但如出現侵蝕破損,並不會再生。琺瑯質下層為象牙質,有不少微細管道通往牙髓,如因牙周病或牙齒侵蝕而象牙質外露,便容易受刺激而出痺、痛等敏感反應。」
黃凌旻指當小孩子懂得刷牙後吐出牙膏,便可使用含氟牙膏。
兩類破損成因
琺瑯質的破損主要有兩類成因,首先是物理性的磨蝕,例如磨牙、刷牙太用力、喝凍飲會咬冰等咬硬物的習慣等;另一種就是酸性侵蝕。黃凌旻續指,「如處於pH5.5或以下酸性環境,琺瑯質便會開始流失。當進食後,口腔殘餘的糖分會被細菌分解成酸性物質;另外,常飲汽水(含有檸檬酸)、過量進食水果如蘋果或西柚(pH3至4)都易令琺瑯質被侵蝕。」
胃酸亦有影響
胃酸倒流易使上排門牙舌側出現侵蝕;暴食症或厭食症患者有扣喉習慣的話,牙齒亦會受胃酸影響;長期吸煙,又或每日要用藥的長者,令口水分泌減少難以中和酸性,這些人士都屬牙齒侵蝕高危族。有些人會因減肥等不同原因而少食多餐,黃凌旻指這對牙齒不利,「平時口水分泌有助牙齒自我修補,若每日多次讓牙齒暴露於大量酸性的環境,就會影響修補效果,繼而增加牙齒侵蝕風險。」
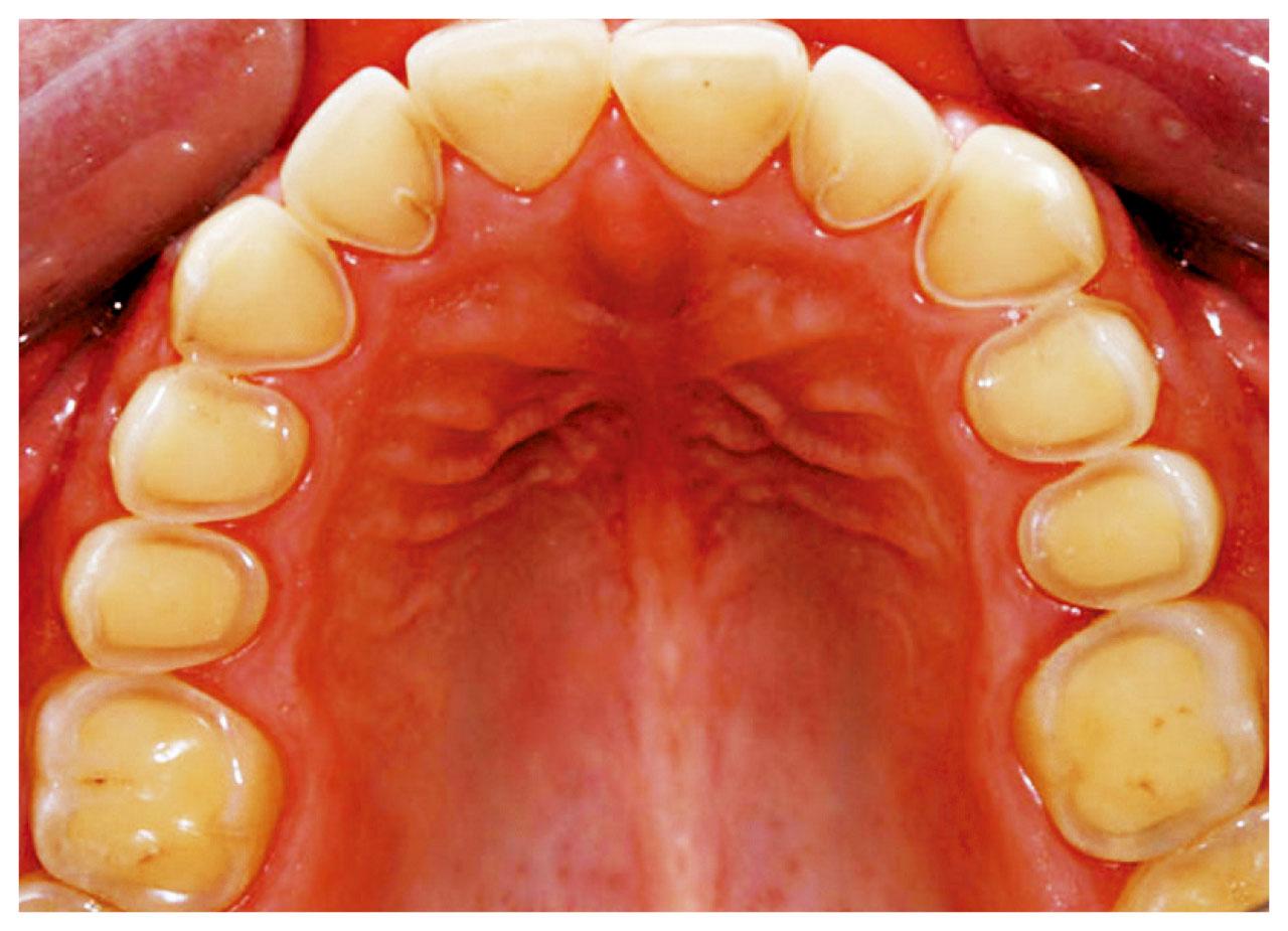
當琺瑯質變薄,便會透出偏黃色的象牙質。
或致咬崩牙
初期牙齒侵蝕未必有明顯徵狀,但如情況惡化,或出現牙齒凹痕、變黃、敏感、蛀牙等,由於象牙質比琺瑯質較易被侵蝕,或使剩下的琺瑯質失去支撐,變得脆弱容易咬崩,嚴重影響日常生活。黃凌旻於臨床上遇過更嚴重情況,「除了牙齒表面的損耗外,牙房亦已收縮,並形成牙房結石,本屬人體自我保護機制,但結石或影響牙房的供血情況,可使牙神經慢慢枯死、牙齒容易受到感染。」
減少琺瑯質流失貼士:
氟化物抗侵蝕
氟化物能夠於牙齒表面形成保護層,於更低pH值的酸性環境才會開始流失,有助強化牙齒。而氟化物已添加至食水、口腔護理產品如牙膏、漱口水和牙線等,亦可在茶葉和一些海產食物中找到。另一方面,部分牙膏含有仿天然琺瑯質微粒(BioHAP),具有生物活性,有助填補及重建牙齒表面流失了的礦物質,保護牙齒免受酸性及細菌侵害,而且可以阻塞象牙質微細管道,減低牙神經的反應,達到防敏效果。
















