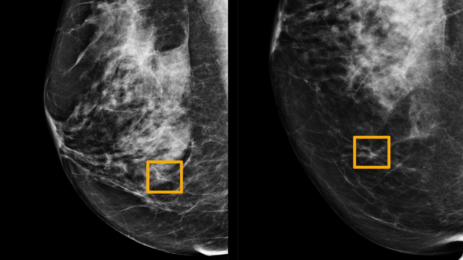
進行乳房造影時,AI能夠分析患者的檢查影像,自動按影像進行乳癌風險評估,方便醫生跟進診斷和治療。
ChatGPT等人工智能(AI)平台最近在全世界引起哄動,我們不禁被其「上知天文,下知地理」的能力所驚嘆!那AI結合癌症治療又會產生甚麼效果呢?事實上,AI用於癌症診斷或治療,正是現時醫學界的重點研究領域,不少國際文獻也有討論。
AI可用於輔助醫學影像分析,例如病人進行乳房造影時,AI能夠分析患者的檢查影像,自動按影像進行乳癌風險評估,方便醫生跟進診斷和治療;又如診斷皮膚癌中,AI可用於分析皮膚鏡影像,協助醫生找出影像中的潰瘍;AI也可用於協助分析電腦掃描及磁力共振掃描影像。它懂得從工作中「汲取經驗」,當它分析得愈多,其深度學習演算法會不斷提高影像分析的精準度,分析得愈好。目前已有不少研究顯示,由AI輔助能夠大大減省醫生分析影像的時間,令癌症診斷更有效率,是優秀的影像分析輔助工具。
此外,AI亦能應用在計劃癌症治療方面。醫生在採用標靶藥物前,一般需透過基因檢測了解患者腫瘤的基因特性,再結合大數據資料庫作科學分析,以引導醫療計劃及用藥方向。不過,每個樣本可測出的基因突變往往少則數千,多則數萬。此時,AI便能把繁複的結果比較數據資料庫,更快更準地預測用藥後,腫瘤會否縮小。過往,醫生要計劃一個放射治療療程,一般需時一天甚至數天時間,在AI協助下,醫生則再可縮短時間,同時可計劃複雜而精密的放射治療方案,治癌變得更爭分奪秒。
作者為香港防癌會傳訊及教育主任歐陽民敬









