dadblk3 madblk3
adblk3
adblk3
健康
出版:2023-May-16 12:30
更新:2023-May-16 12:30

磁力共振掃描 與X光有何不同?

分享:
mri x光
adblk4

於上星期,莊子老師簡單介紹過X光片應該如何「閱讀」及其原理,這篇則繼續講解物理治療師在工作上的另外兩個好幫手,它們分別是磁力共振掃描(MRI)及超聲波顯影技術。

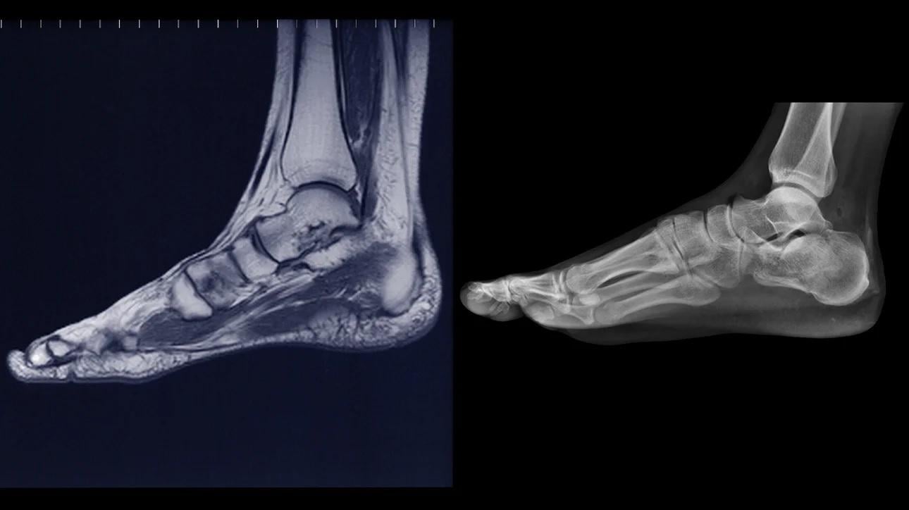
磁力共振掃描是利用電池波技術製造影像,再配合電腦分析。它與X光不同之處,是X光含有輻射,而磁力共振則沒有。

進行磁力共振檢查時,客人會睡於床上,然後床會進入圓形大滾筒內進行掃描。檢查時間方面,過往需要30分鐘,而隨著科技進步,檢查時間已縮短至1520分鐘。

如何「閱讀」磁力共振影像?磁力共振掃描分為T1T2兩類。於T1影像下,身體硬組織將以白色呈現。一些軟組織,例如是水或肌肉,則以黑色呈現。

物理治療師透過T1影像,已可看到很多答案,例如客人有否出現韌帶撕裂,倘若不幸出現撕裂,病情又有多嚴重。

超聲波顯影 即時了解病況

說到超聲波顯影,它的原理是以聲波系統製造影像。人類一般可聽到的聲波頻率是20千赫,當高於20千赫便稱為超聲波,這些聲波具有震動性,並且在接觸到身體組織後回彈,產生影像。

進行超聲波顯影檢查時,醫生會將探頭放到患者需檢查傷患位置,從而即時了解求診者傷勢。

倘若各位讀者在運動後或日常生活中出現各類肌肉或關節問題,感到煩惱,歡迎大家以WhatsApp方式向莊子老師查詢哦!
WhatsApphttps://wa.me/85230015876

文章來源:澳源運動脊椎治療中心專頁
https://www.facebook.com/triohealthphysio

ADVERTISEMENT

【👇立即追蹤👇】

ad

恭喜你!獲取1分 !

更多積分任務