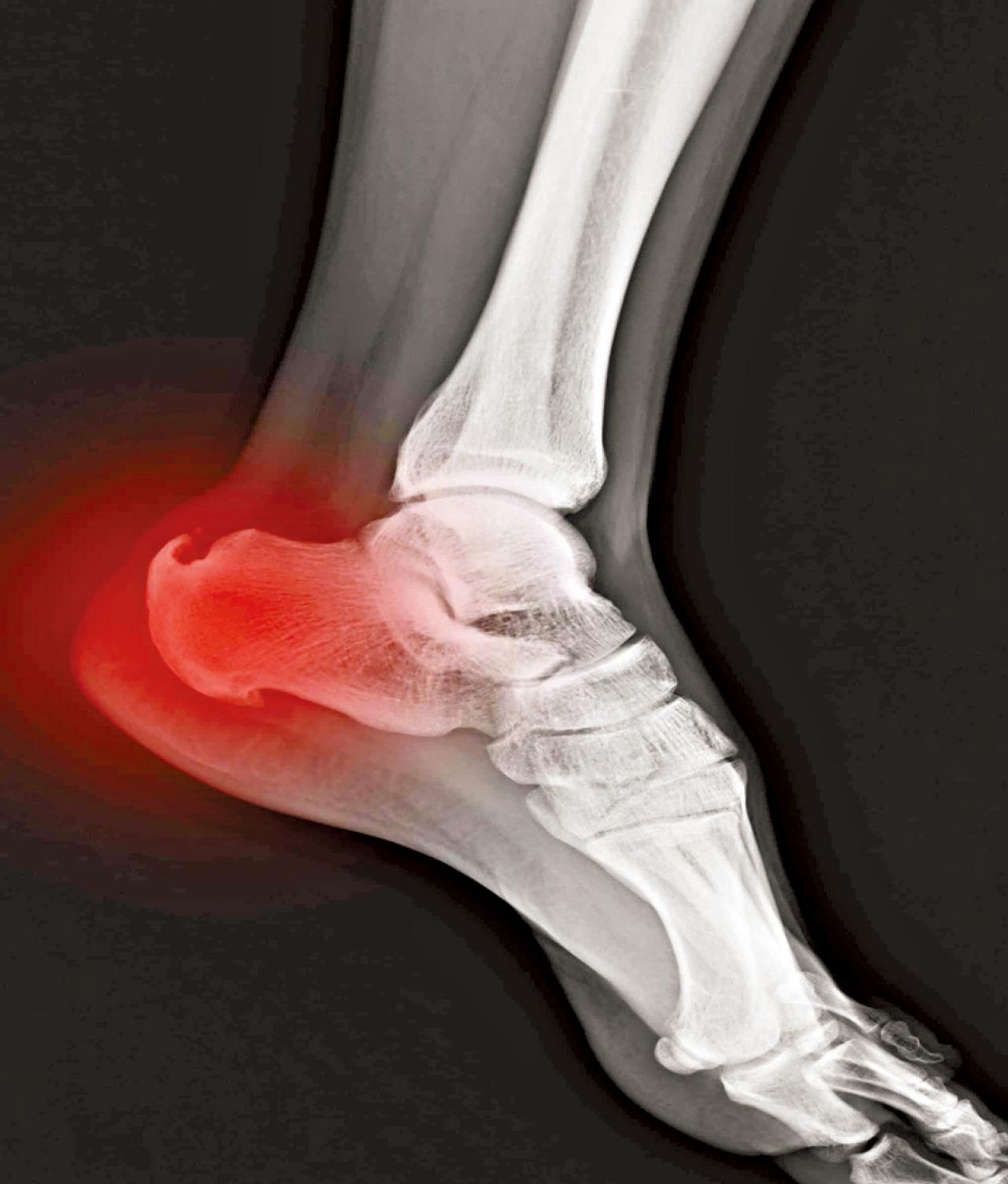
骨刺一般情況不會引起疼痛,大部分情況下,導致長期痛症的原因包括姿勢問題、運動發力錯誤、勞損等,而在關節炎情況比較嚴重時,可能會導致關節面摩擦增多而導致疼痛和活動受限。
為甚麼會有骨刺呢?其實透過觸摸一下雙腳腳眼可略知一二,身體上一些較突出的位置都是由肌肉或韌帶反覆拉扯而形成。而骨刺的形成一樣是因為軟組織經過反覆用力或肌肉繃緊而造成。所以,其實骨刺是伴隨著大量軟組織繃緊及勞損問題。
治療方面,透過物理治療運動及手法治療能增加強關節靈活性及力量,雖然過程中不會處理骨刺,但一樣可以減低痛症以及關節受限問題,所以真正要解決的是軟組織繃緊問題以及骨刺形成的成因。至於透過手術切除骨刺,這並不是一勞永逸的方法,有些個案在切除骨刺後痛症亦無法減少,一樣需要物理治療去根治痛症問題。
改善運動習慣、避免重複發力而缺乏休息、增加肌肉力量等均可減少身體代償,才是處理根本問題的正確之道。
香港中華基督教青年會將於9月6日開始,為受骨刺痛症等問題影響人士提供物理治療評估,作出適切建議,並為有需要人士提供痛症處理、手法及運動治療。歡迎透過網上表格或致電2743 1702查詢。
作者為香港中華基督教青年會註冊物理治療師蘇文浩









