黃皮清甜好吃,但核蠻大,小朋友進食時,家長要多加留意。(互聯網)
誤吞的果核真的會在人體裡發芽!廣東佛山一名2歲寶寶小周近日在家邊吃黃皮邊看電視,看到搞笑情節哈哈大笑後,一顆黃皮核滑進肚裡,但沒想到這顆黃皮核竟然卡在氣管,還日漸發芽、膨脹,最後要做手術拔出。
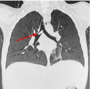
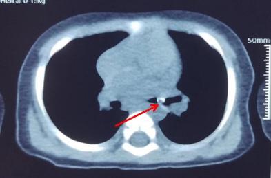
黃皮核卡右支氣管 左肺有肺炎
佛山市婦幼保健院在微信公眾號發文講述事件,指小周誤吞黃皮核後,家人初時覺得小周沒有甚麼異常,但後來小周日漸咳嗽、氣喘,多次看醫生都沒有明顯改善,直至去到佛山市婦幼保健院接受詳細檢查,才發現小周「氣管遠端-右主支氣管」有柱狀異物,並有「左肺肺炎」。
醫生:黃皮核堵塞氣管恐致窒息、呼吸衰竭
醫生分析,異物、即黃皮核落入氣管已有10天,不排除肉芽增生及黏膜炎症,加上黃皮核直徑大,極可能堵塞氣管開口,造成窒息、肺不張,甚至呼吸衰竭等危險,必須盡快做手術取出。
手術期間,醫生更發現,由於氣管環境溫暖、潮濕,黃皮核已經發芽、膨脹,大大增加取出難度。經過一場「拉鋸戰」,這顆發芽黃皮核終於從小周氣管內安全拔出。
醫生:幼童食有核水果 家長須多加留意
醫生提醒家長,在幼童進食有核水果時多加留意,避免發生意外。








