四種腦出血點樣分?
韓國人氣網絡漫畫《我獨自升級》剛剛寔布動畫化不久,就傳出作畫的DUBU(Jang Sung-rak)因腦出血病逝,令人惋惜。而腦出血除了比較為人熟悉的出血性腦中風,另外還有幾種出血情況。由於每一種都可致命,如出現類似徵狀,應立即求醫。
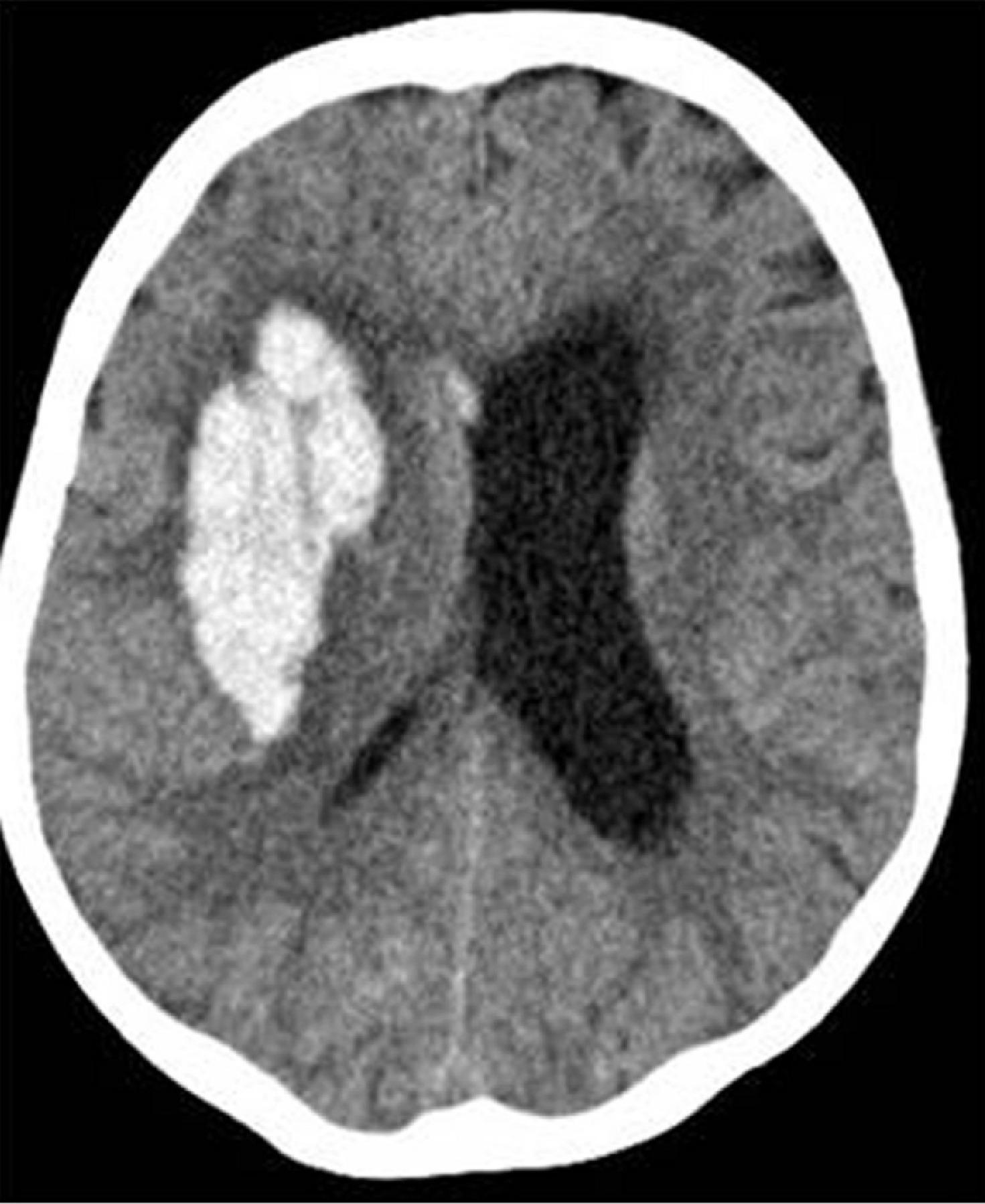
出血性中風
原因多為高血壓或腦血管病變,令血管破裂,血液流出,令腦神經受損。症狀一般來得急而且嚴重,如血液擠壓腦部令壓力升高,可致嚴重頭痛、嘔吐、神志不清,甚至昏迷。必須立即送院,找出出血位置而決定治療方案。
硬腦膜上出血
硬腦膜是腦膜最外層,硬腦膜上出血即腦膜與頭骨之間出血。患者或有「清醒期」,即腦部有出血但人仍清醒、舉止正常,但持續出血並壓迫到腦部組織,就可能突然失去意識。如出血量大,須手術移除血塊。
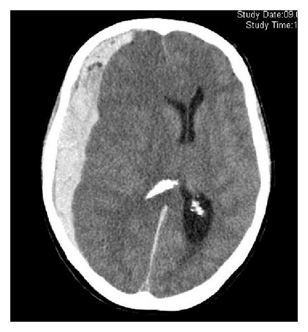
硬腦膜下出血
即血液積聚於硬腦膜與蜘蛛網膜之間,成因多為外傷撞擊,而扯斷了腦膜的血管。患者或突然出現認知障礙、反應遲緩、言語不清、行路不穩。只要打開硬腦膜引流積血便可回復正常,但頭骨或須待腦壓降低後才可放回。
蜘蛛網膜下出血
出血位於蜘蛛網膜和軟腦膜之間,創傷、腦血管動脈瘤破裂是常見成因。患者會忽然覺得劇烈頭痛。治療上主要是控制血壓,減少腦水腫。












