
美國麻省理工學院率領的科研團隊,設計了一款AI風險檢測工具,能夠提早5年預測乳癌風險。(示意圖片)
乳癌是香港女性頭號癌症殺手,面對威脅政府早前已委託大學進行相關研究,以助訂定未來乳癌防控政策,坊間也有聲音要求採納全民篩查。其實美國癌症協會也建議婦女從45歲開始進行年度篩查,但是對於何時開始篩查以及其頻率,全球均仍然存在爭議。最近由美國麻省理工學院率領的科研團隊,成功設計了一款AI風險檢測工具,能夠提早5年預測乳癌風險。本身是乳癌康復者,參與研究的麻省理工學院教授Regina Barzilay認為,希望新系統能為醫療機關提供評估資訊,制定個人化篩查和癌症防治計劃。

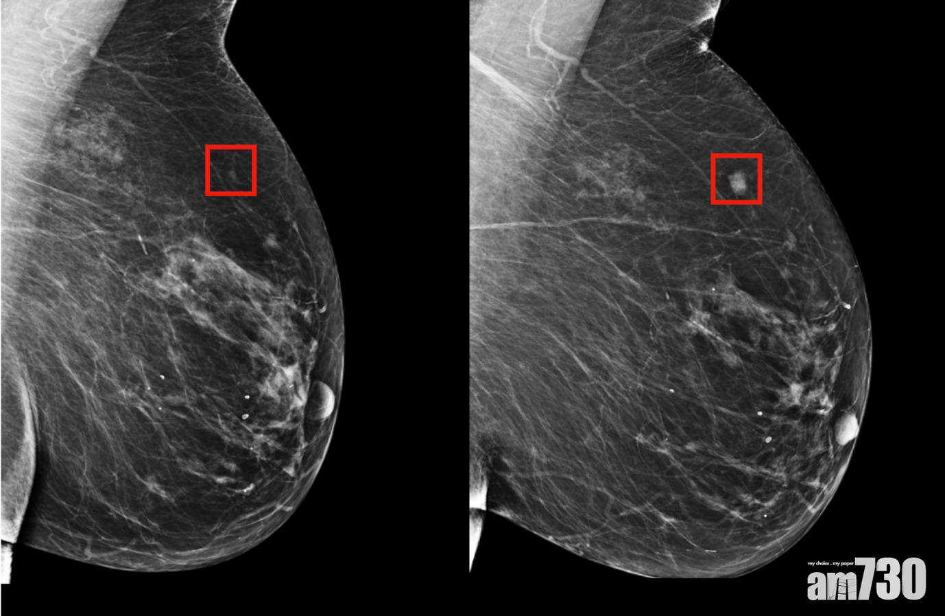
系統通過學習多達90,000張乳房X光片,能夠辨識出乳房組織的任何一個微妙複雜變化。(MIT)
AI深度學習9萬張乳房X光片
由美國麻省理工學院的「MIT計算機科學與人工智能實驗室」,聯同馬薩諸塞州綜合醫院的團隊,創建了一種新深度學習AI模型,比起傳統醫生從檢查人士的X光片識別出有可能患乳癌的費時做法,系統通過學習多達90,000張乳房X光片,能夠細緻地辨識出乳房組織的任何一個微妙複雜變化,藉此演算出未來5年患乳癌的機率。團隊稱新系統檢測出最高風險的可靠有31%,相比其他模型的18%還要高。

參與研究的麻省理工學院教授Regina Barzilay。(互聯網圖片)
癌症檢測更公平
根據研究共同作者,哈佛大學醫學院放射系教授Constance Lehman補充,早在上世紀60年代以來,放射科醫生已經懂得從女性乳房X光片上看出風險端倪。不過早期的檢測模型都是為白人婦女開發的,這意味著針對黑人的檢測結果變得不可靠。然而今次麻省理工的新AI工具,無論對白人還是黑人婦女均同樣準確。Regina Barzilay寄望系統有朝一日還可以透過乳房X光片,檢測出其他疾病如心血管病風險。研究人員也想類似的AI模型可以擴大應用至其他預測度較差的疾病,如胰臟癌等。研究成果已於《Radiology》期刊中發表。
(來源:MIT計算機科學與人工智能實驗室)
網址:https://www.csail.mit.edu/news/using-ai-predict-breast-cancer-and-personalize-care