肢端肥大症最常見的發病年齡約為40至50歲,通常這時患者都已發現身體異常情況因而就醫。
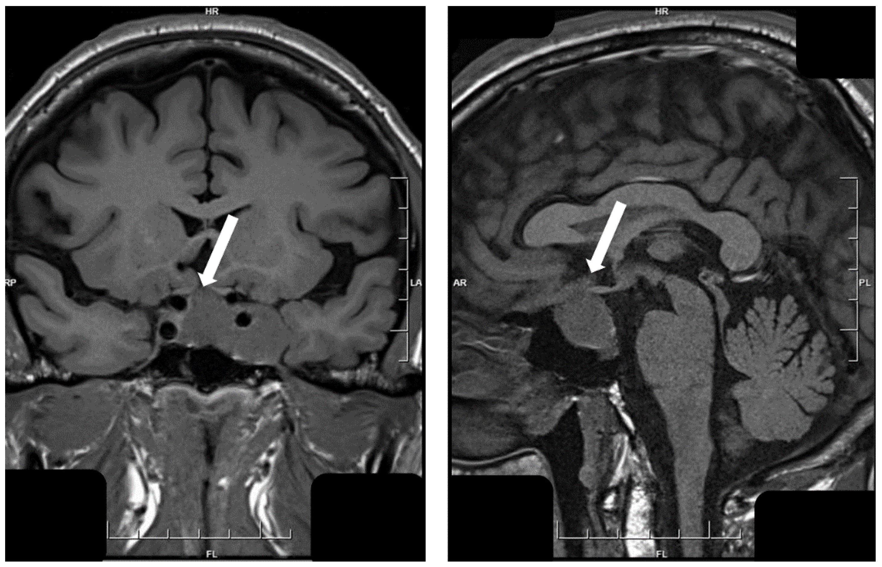
手腳異常腫大或臉形改變可別大意,可能是肢端肥大症惹禍,尤其早期症狀表現不明顯且病程緩慢,導致許多患者誤以為是正常老化,後續可能衍生包括心臟肥厚、心臟衰竭或肝臟肥厚、骨骼軟組織增生肥大等問題;臺大醫院內科部副主任暨代謝內分泌科主任王治元教授指出,肢端肥大症大多是因為腦下垂體分泌過多生長激素所造成,若發生在成年人身上,因生長板已閉合,就會造成骨骼異常增生,像下巴或前額突出、牙齒裂開等現象,可透過抽血做初步的篩檢。
肢端肥大症難第一時間發現 有賴醫師警覺性
肢端肥大症最常見的發病年齡約為40至50歲,通常這時患者都已發現身體異常情況因而就醫;王治元教授說明,肢端肥大症患者在第一時間難以被發現,通常得經過一段時間後才會被發現罹患此疾病,因此關鍵在於仰賴警覺性較高的臨床醫師,是否能第一時間發現患者症狀可能與肢端肥大症有關,才能進一步轉診到內分泌新陳代謝科做檢查,盡早接受治療。
肢端肥大症若發生在成年人身上,因生長板已閉合,就會造成骨骼異常增生,下巴或前額突出。
治療肢端肥大症 以減少體內生長激素為目的
治療上,主要針對減少生長激素產生為目的,基本上會優先評估患者是否適合以手術切除腫瘤,再輔以加馬刀、電腦刀等放射治療,透過局部定位治療病灶,但放射治療腦下垂腫瘤得經若干年後,腫瘤才會逐漸消失,若治療仍不理想,則須以口服藥或注射藥物治療加以輔助;王治元教授補充,早期即已有所謂體抑素抑制劑等治療方式,但患者需每天打三針且疼痛感較高,直到近年來出現長效型注射凝膠劑,患者只需一個月打一針即可。
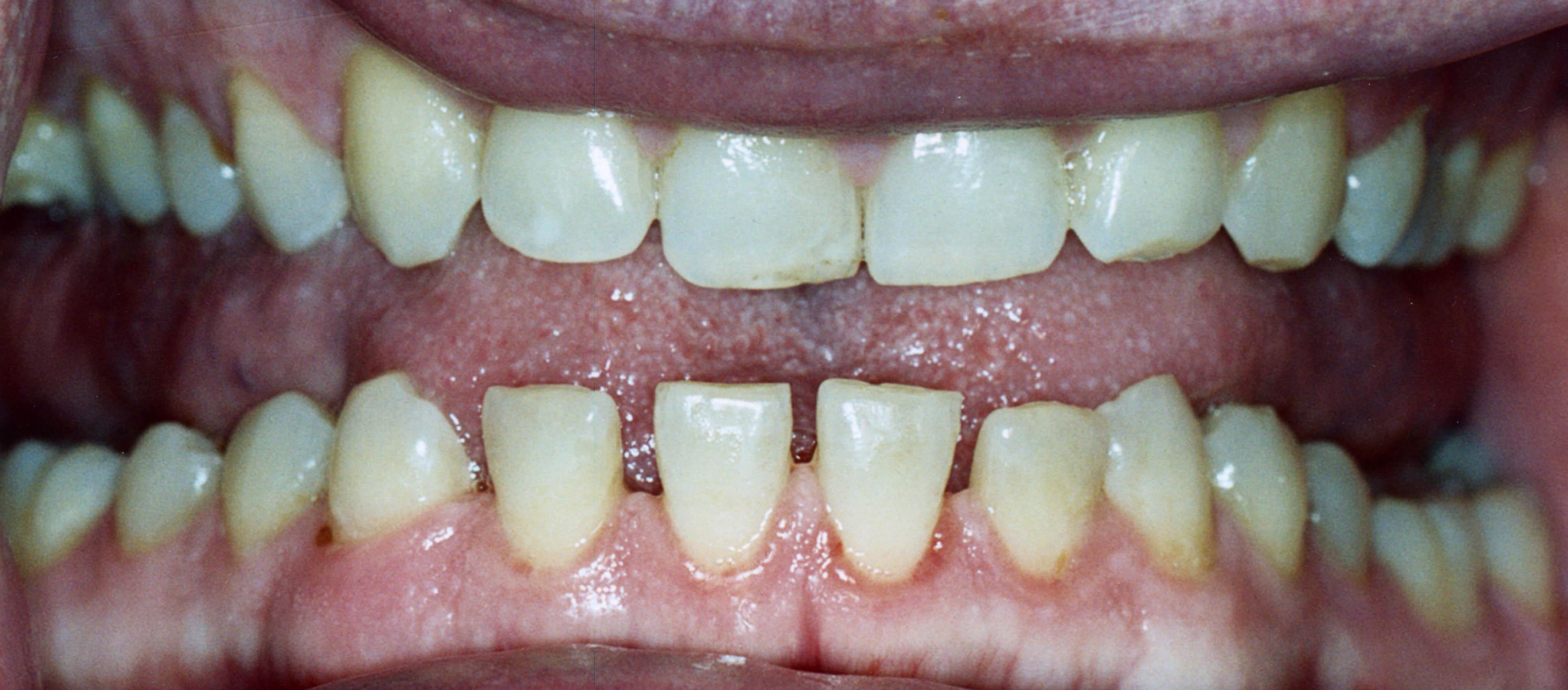
因下巴突出,下排牙齒亦被拉開變疏。
新型注射器治療四周一次 患者也可自行在家注射
王治元教授說明,事實上,醫師在評估患者接受任何治療時,必須考量患者的順從性,這將決定後續治療的成功與否,目前也有新型注射器的治療方式出現,藥物以凝膠劑的模式,方便病患做注射,療程約四周一次,且疼痛度與傳統型注射器相比可降低,不過根據臨床經驗,部分患者能夠八個星期注射一次即可,就能達到治療效果,尤其透過良好的護理衛教系統,患者也能在家自行注射,減少往返醫療院所的不便。
治療上,主要針對減少生長激素產生為目的,基本上會優先評估患者是否適合以手術切除造成此症的腫瘤,再輔以加馬刀、電腦刀等放射治療。
患者應規律用藥 以免衍生後續併發症
臨床上,過去就曾有約40幾歲患者,因罹患糖尿病進一步檢查,被醫師察覺外表疑似有肢體肥大症徵兆,經詳細檢查後也發現原來是不正常的生長激素分泌,造成胰島素敏感度變差,演變糖尿病;王治元教授提及,這名患者經生長激素控制,也順利接受手術治療,也讓血糖得到很更好的控制;事實上,罹病的患者最重要就是規律用藥,一旦漏藥,若有心臟肥大、血糖等問題,恐對健康影響較大。
【本文獲「健康醫療網」授權轉載。】









