泛視神經脊髓炎是非常罕見的疾病,在全球十萬人中,約有0.37至10人罹患,屬於自體免疫中樞神經系統發炎疾病。
一名產婦在生完第三胎的7個月後,突然喪失大、小便功能,伴隨雙腳麻痺、癱瘓等症狀,經醫師診斷為泛視神經脊髓炎(NMOSD),屬於嚴重的自體免疫中樞神經系統發炎疾病,轉診來到大林慈濟醫院,在神經內科與風濕免疫中心團隊合作治療下免於終生失能,甚至死亡的威脅。
極罕見泛視神經脊髓炎 多科檢查找不出病因
35歲王女士回想,當寶寶7個月大時,肚子忽然鼓的像懷孕一樣,用手觸摸有硬硬的感覺,到醫院經過多科檢查仍找不出原因。神經內科黃詠嵩主任表示,泛視神經脊髓炎,是非常罕見的疾病,在全球十萬人中,約有0.37至10人罹患,屬於自體免疫中樞神經系統發炎疾病。
泛視神經脊髓炎具有高度復發性,每一次復發對於神經細胞都是種不同程度傷害。
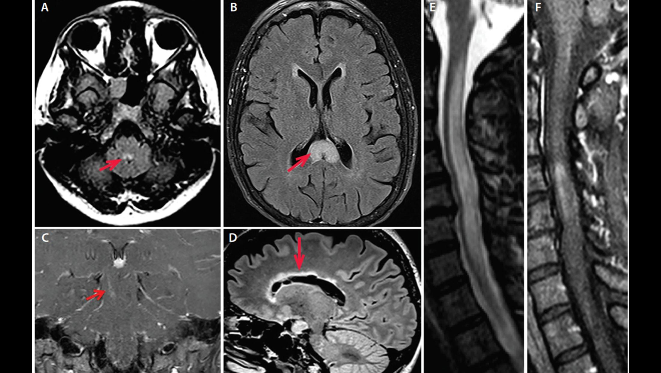
泛視神經脊髓炎合併乾燥症 類固醇脈衝+血漿置換術治療
發現後緊急會診過敏免疫風濕科許寶寶醫師加入生物製劑的治療,降低嚴重程度及復發機率。許寶寶醫師說,在核磁共振檢查中,神經內科發現病人有縱向性脊椎炎,從頸椎的第7節到腰椎的第10節,加上aquaporin-4(AQP4)抗體(NMO-IgG)檢測為陽性,確認是罕見的泛視神經脊髓炎合併乾燥症,即開始積極使用類固醇脈衝跟血漿置換術為她治療,約1至2個月後,神經開始修復。王女士形容,神經修復期間,只要翻身就痛如刀割又如火燒,心情低落到想自殺。
具高度復發性 未及時發現治療恐致命
許寶寶醫師指出,泛視神經脊髓炎具有高度復發性,每一次復發對於神經細胞都是種不同程度傷害,有時還會影響視神經,或其他合併症包括紅斑性狼瘡、乾燥症;早期常將視神經脊髓炎(NMO)容易與多發性硬化症(multiple sclerosis,MS)混淆。若未妥善且積極治療,病情最終會走向失能、臥床,或併發吸入性肺炎、褥瘡、尿道感染、骨折、骨質疏鬆症而死亡。
【本文獲「健康醫療網」授權轉載。】









