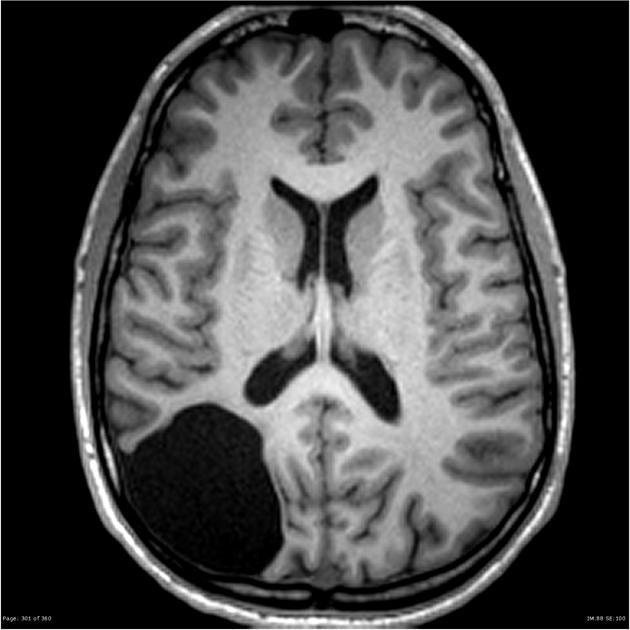
羅東博愛醫院神經外科醫生黃安平解釋,腦部出現滯水水囊現象的孔洞腦症屬罕病,目前成因不明,過去曾發生頭部創傷、嬰兒時期腦部缺氧、感染或出血等原因都有可能誘發孔洞腦症發生。
一名9歲女童今年初起突發癲癇症狀,甚至一個月內癲癇二度發作,先是左手疼痛而後全身抽蓄,嚇壞眾人。他院醫生為女童照電腦掃描卻一直找不出原因,直到近期再度癲癇發作,被轉送至羅東博愛醫院急症室治療,檢查後赫然發現大腦出現異常空腔及腦脊髓液淤積。
孔洞腦症成因不明 初期可能發生癲癇
腦部病變的診治必須與時間賽跑,兒童腦疾治療更攸關後續腦部發育,極具挑戰。羅東博愛醫院神經外科醫生黃安平解釋,腦部出現滯水水囊現象的孔洞腦症屬罕病,目前成因不明,過去曾發生頭部創傷、嬰兒時期腦部缺氧、感染或出血等原因都有可能誘發孔洞腦症發生。
而孔洞腦症好發症狀也因人而異,初期可能發生癲癇,也可能無症狀,但若遲未診斷並治療,恐使水囊愈積愈大,甚至造成周圍腦部壓迫、癲癇發作惡化,最後導致語言、智力、運動功能缺損。
孔洞腦症好發症狀也因人而異,初期可能發生癲癇,也可能無症狀,但若遲未診斷並治療,恐使水囊愈積愈大,甚至造成周圍腦部壓迫、癲癇發作惡化,最後導致語言、智力、運動功能缺損。
跨科合力開顱手術治療 電腦導航助順利完成
此案經羅東博愛醫院兒童神經專科段必純醫生安排磁力共振與腦電波仔細檢查,並會診神經外科黃安平醫生,兩人判斷是因右側額葉水囊造成腦部不正常放電,才導致癲癇發作,必須安排開顱手術治療。
在電腦導航系統3D成像的輔助下,黃安平醫生得以平穩且精準執刀。開顱後伸入顯微器械,避開血管,將病灶水囊做出開口,將水囊與蜘蛛網膜下腔打通,讓水分流通進出,清除積水、釋放腦壓。傷口隱藏在髮線內,以最微幅的傷害成功完成這一例高難度腦部手術。
【本文獲「健康醫療網」授權轉載。】









