在做完杜牙根治療後,有患者竟發覺自己的牙齒出現發黑的現象,嚴重影響美觀性。而且,部分患者還開始擔心自己的身體是否出現了甚麽大問題。接下來我們將會解開這個天大的誤會並説明出現這種現象的原因。
Q1:做完杜牙根後爲甚麽出現了牙齒發黑的情況?
杜牙根主要用於治療牙髓感染或牙髓壞死,與直接拔牙來解決牙齒問題不同,杜牙根可以允許患者在防止牙齒疾病惡化的同時保留原生牙齒。其原理就是把已壞死的牙髓移除,再以填充物料填補根管。
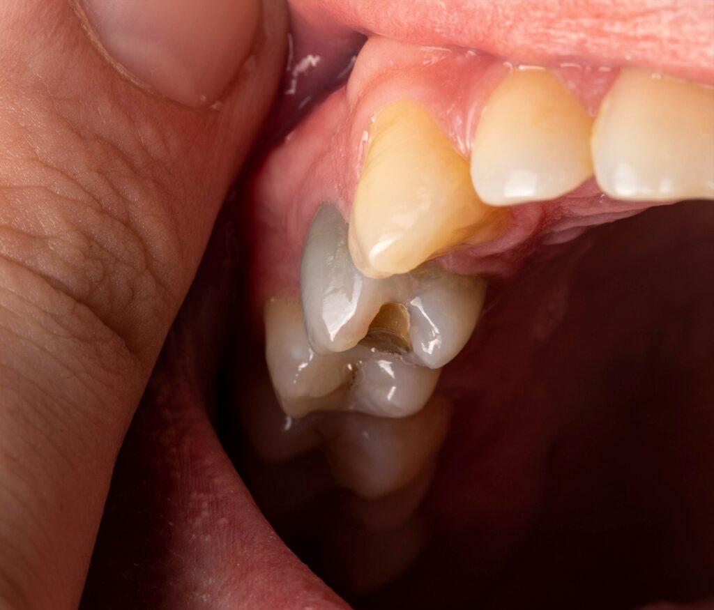
雖然透過杜牙根保留了牙齒,但是亦因為移除了牙髓,牙齒失去了營養供應,當沒有活性的組織供應(包括血液循環)的時候,牙齒就可能發黑。有時,某些杜牙根材料(尤其是一些再生材料)也會導致這種情況發生。所以,移除牙齒神經後出現的牙齒發黑是正常的現象,並不需要拔走牙齒,患者毋須過分擔心。
移除牙齒神經後出現的牙齒發黑是正常的現象。
Q2:有沒有方法可以令我的牙齒重新變白?
其實牙齒變黑了以後並不會演變為其他牙齒疾病,如果患者不介意的話也可以不作任何處理。但如果患者覺得這樣會影響美觀,有兩種方法可以令牙齒重新變白。
如果純粹只是想改善牙齒顔色,我們通常建議先對真牙牙冠內部漂白進行無創治療。這種方法就是做牙齒內部漂白,透過在牙齒背面打洞,再在小洞注入漂白劑來達至美白的效果。而牙齒美白的程度和變白所需的時間因人而異,最快的話一星期就可以開始看到效果。
第二種方法是做牙套,牙套分為金屬牙套、陶瓷牙套、金屬烤瓷牙套三種,而陶瓷牙套則與真牙最為相似,若患者選擇做陶瓷牙套便可以解決牙齒變黑影響外觀的問題了。
如有疑問,請向你信任的家庭牙醫查詢。









