
據《大象新聞》報導,劉女士身高160公分,體重58公斤,體型總體正常,腹部有「游泳圈」,在查出有脂肪肝後,自認為是平時葷的吃多了,才會得脂肪肝,於是開始了長達半年的「水煮菜」飲食加上少許主食,戒掉了葷腥和精緻碳水,每餐基本都是水煮葉菜加上蒸雜糧。
吃素吃出脂肪肝?中國浙江寧波一名29歲OL半年前體檢發現有輕度脂肪肝,於是痛下決心「餐餐水煮菜」來減肥,原本開心體重少了5公斤,不料去醫院複檢後超傻眼,脂肪肝程度反而加重為中重度!
劉女士長達半年「水煮菜」戒葷腥和精緻碳水
據《大象新聞》報導,劉女士身高160公分,體重58公斤,體型總體正常,腹部有「游泳圈」,在查出有脂肪肝後,自認為是平時葷的吃多了,才會得脂肪肝,於是開始了長達半年的「水煮菜」飲食加上少許主食,戒掉了葷腥和精緻碳水,每餐基本都是水煮葉菜加上蒸雜糧。
日前劉女士來寧波大學附屬第一醫院複查,原本信心滿滿,因為這半年來,體重減掉了5公斤左右,腰腹也明顯平坦許多,不料超音波檢查出來,脂肪肝竟加重為中重度,讓她大感不解「這半年我都吃素,基本都是水煮蔬菜,怎麼會查出中重度脂肪肝呢?這不科學啊」。
食早餐好處|空肚上學表現會差啲?甚至增加心臟病風險?

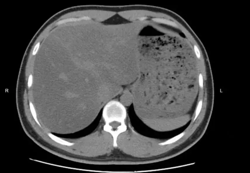
複檢發現吃素半年脂肪肝竟成中重度。(圖/翻攝大象新聞)
蛋白質攝入嚴重不足反而可能加重脂肪肝
對此,寧波大學附屬第一醫院感染科楊乃彬醫生表示很多人認為,脂肪肝是胖子的專利,這個認知存在一定誤區。對由肥胖導致脂肪肝的群體來說,健康科學的減肥有利於脂肪肝的降級、逆轉,但是,不健康不科學的減肥,尤其是過度節食,蛋白質攝入嚴重不足,反而可能會加重脂肪肝。
楊乃彬指出,劉女士的「暴力減重」,半年來幾乎沒有攝入蛋白質和油脂,然而肝臟分解、代謝脂肪,都需要蛋白質,運送不出去就只能積壓在肝臟,加上長期吃水煮蔬菜,身體無法獲取所需能量,脂肪快速分解產生大量脂肪酸進入肝臟並在肝臟內長時間停留,容易引發脂肪肝。
醫師提醒,從門診來看,20%-30%的脂肪肝患者並不胖,體重正常甚至偏瘦,僅從體型和體重來判斷是否得脂肪肝並不科學,應綜合肝功能等生化檢查、肝臟B超等影像學檢查來做綜合判斷。
文章授權轉載自《中天新聞網》,按此查看原始文章