台灣大熊貓團團腦病變惡化,停止進行侵入性檢查。(臺北市立動物園Facebook圖片)
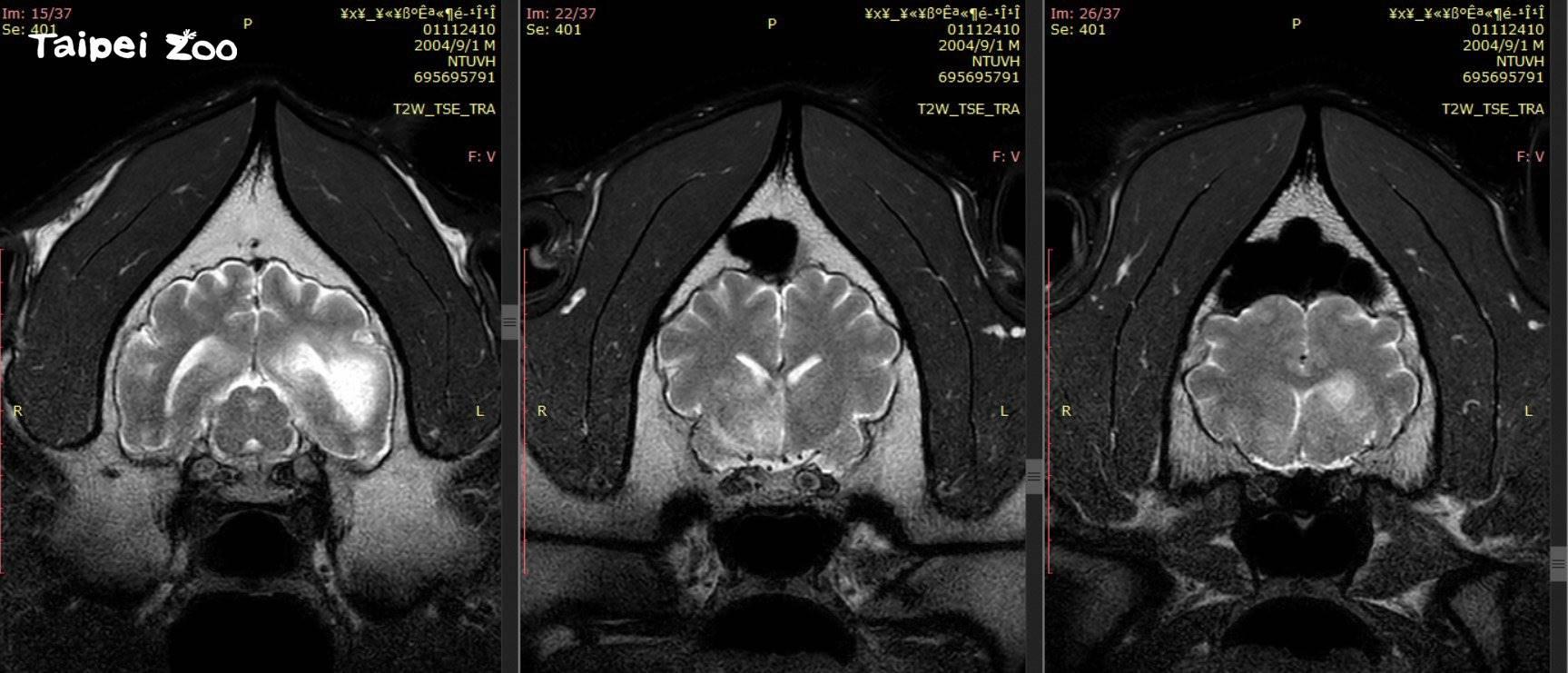
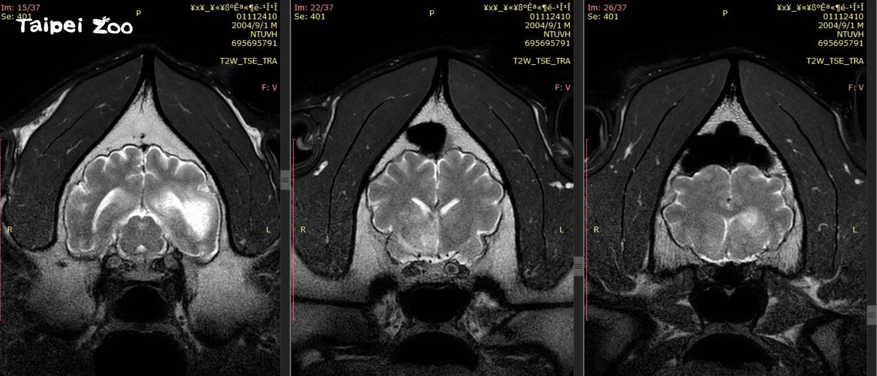
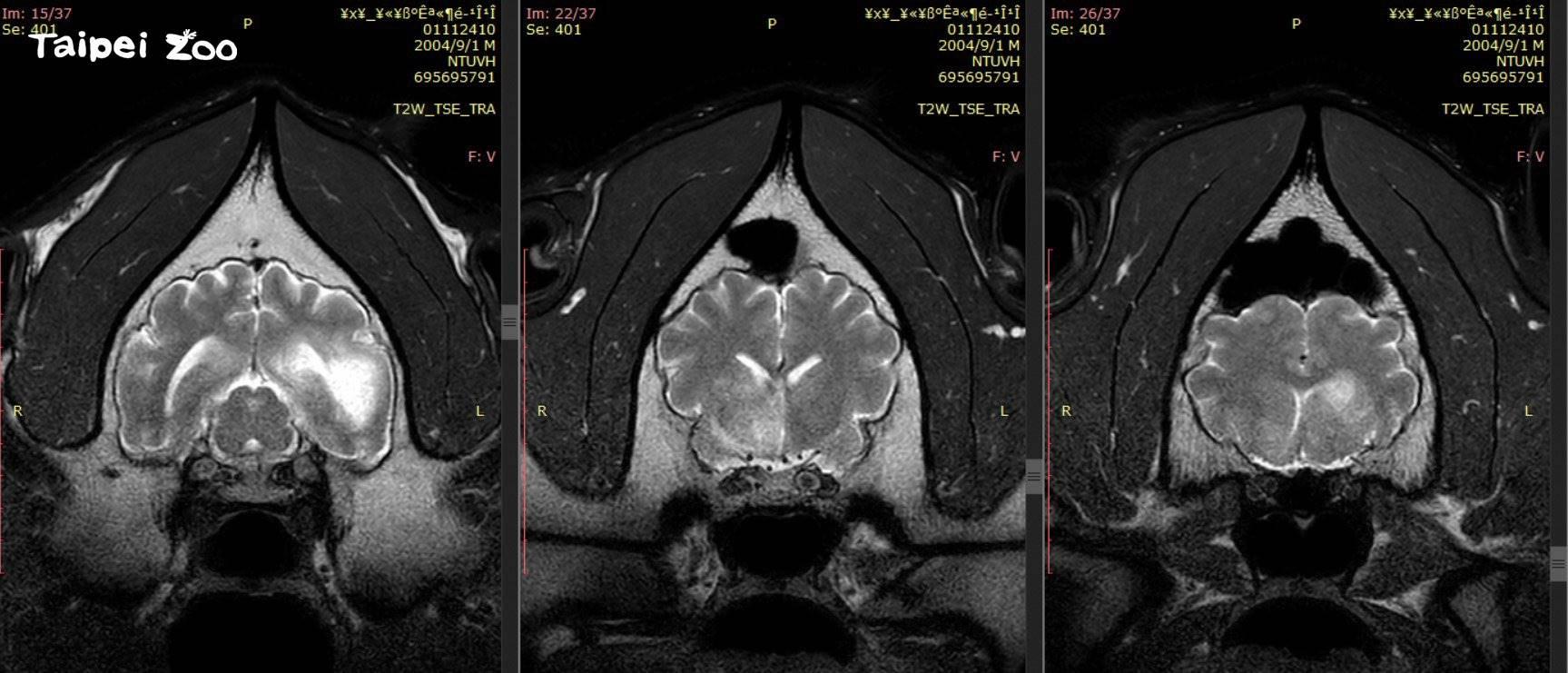
台灣雄性大熊貓「團團」的腦病變病況惡化,台北市立動物園公布「團團」的第2次磁力共振造影檢查結果,顯示「團團」腦部惡性腫瘤的機率大幅提高,由於未能進行腫瘤切片檢查,無法百分百確認,為維護動物福祉,會停止進行麻醉或侵入性檢查,改為採取舒緩照護方式。
兩個月前出現癲癇等症狀
動物園指,「團團」兩個月前出現癲癇等症狀,本月中開始出現後肢無力、食慾不振等,現時無論食量及活動能力等下降,獸醫現時每日都會給予藥物舒緩症狀,並以輸液補充水分,日常的飼料會添加蛋白質、維他命及膳食纖維等,希望「團團」可以維持體力。
內地在2008年12月贈送一對大熊貓「團團」與「圓圓」給台灣,雌性熊貓「圓圓」經人工受孕後,誕下的雄性「圓仔」和雌性的「圓寶」,已分別9歲和2歲。












