一名年約30多歲男子駕車時欲打噴嚏,他捏鼻閉嘴強忍,結果令氣管撕裂。(左圖非當事人)
不少人在公眾地方想打噴嚏時,都會強忍,但原來隨時危及生命。一名年約30多歲男子駕車時欲打噴嚏,他捏鼻閉嘴強忍,結果令氣管撕裂,個案在《英國醫學期刊》發表,屬全球首宗因捏鼻閉嘴強忍噴嚏而導致自發性氣管穿孔病例,報告建議大眾不要這樣做。
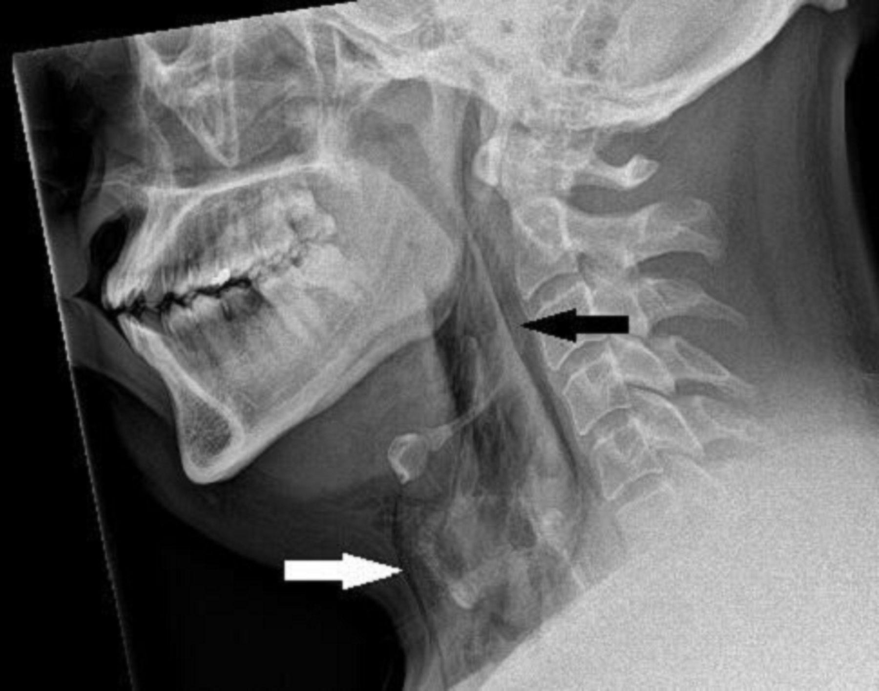
《英國醫學期刊》本月刊登該案例報告,指這名30多歲男子本身有過敏性鼻炎,繫上安全帶的他在駕車途中突想打噴嚏,但當他捏鼻閉嘴強忍下來後,頸部隨即劇烈疼痛,他即時到急症室,醫生檢查後發現,他頸部兩側腫脹,活動困難,但男子沒有任何呼吸、發聲或吞嚥困難問題。
不用做手術 兩周禁劇烈運動 5周後癒合
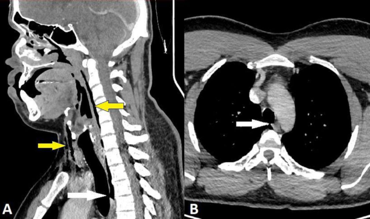
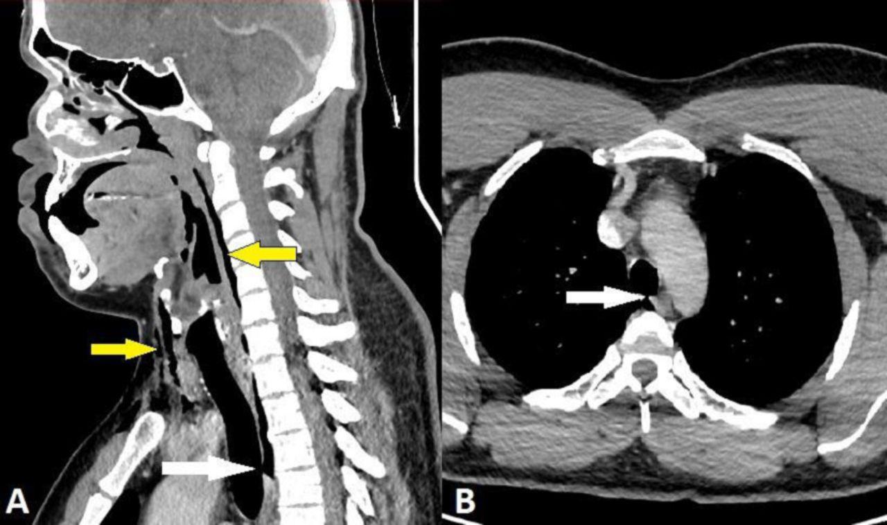
經過X光檢查及電腦掃描後發現,男子的第三和第四節頸椎之間有一處2毫米乘2毫米乘5毫米的氣管撕裂,還有縱膈腔氣腫和頸部手術性肺氣腫,所幸不危及生命,亦不用做手術。男子接受止痛藥和花粉症藥物治療,留院觀察48小時後出院,醫生提醒他兩周內不要有任何劇烈運動。他5周後再接受檢查,顯示氣管撕裂已完全癒合。
上呼吸道產生壓力 超過打噴嚏20倍以上
報告指,醫療團隊懷疑男子捏鼻和閉嘴強忍噴嚏時,氣管內壓力迅速增大所致,若打噴嚏時嘴和鼻也緊閉,上呼吸道產生的壓力可能會超過打噴嚏時產生壓力的20倍以上,報告建議大眾不要閉嘴捏鼻子來抑制噴嚏,因這可能會導致氣管穿孔。










