
乳癌是最常見的女性癌症,本港每14名女士便有一人最終會患上乳癌。乳房造影檢查是及早發現乳癌的有效方法,美國一項有逾百萬女性參與的大型研究發現,3D立體乳房造影檢測乳癌的準確率比傳統2D造影高逾兩成,尤其有助偵測乳房組織密度較高女士的異常情況。
3D造影各方面表現都較佳
該項刊載在《Radiology》的研究,涵蓋逾110萬名女性在2014年至2020年間接受2D或3D乳房造影的女士,她們的年齡介乎40至79歲。當中共發現9,714宗乳癌個案,其中3,421宗由2D造影發現,餘下6,293人則由3D造影找出。
數據分析顯示,每進行1,000次3D造影就發現5.3宗乳癌,而2D則找到4.5宗個案。而3D造影的假陽性及假陰性的機會都較低。

3D乳房造影表現比2D的好。
乳房組織密度無影響
研究人員指出,以往2D造影在乳房組織密度高女士身上的準確率較低,但新技術不受乳房組織密度高低的影響。目前專家正搜集資料以分析兩種造影技術對於乳癌患者存活率是否有差異。
及早發現增存活率
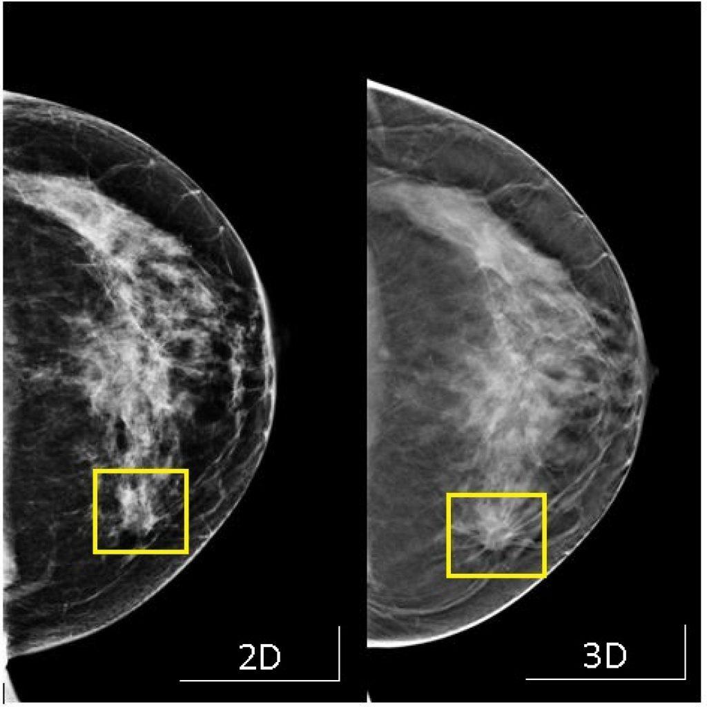
資料顯示,沿用多年的2D乳房造影,從乳房正面和側面拍攝再組合成一個影像,以致部分區域可能會出現重疊,而檢測乳房的準確率約為87%。至於3D乳房造成則從不同角度拍攝影像,呈現每一層乳房組織的狀態,再利用電腦製成立影像。
及早發現乳癌對患者的治療和存活機會都有關鍵影響,早期乳癌可以手術根治,五年存活率接近100%,但晚期乳癌則只有約三成。