有些人做矯齒治療時透過X光檢查發現牙腳(牙根)有收縮的情況,甚麼原因造成這種現象和對牙齒健康有甚麼影響呢?
矯齒過程中,矯正器施力給牙齒,牙床經過吸收和修復的過程,牙齒才能移動。其實牙根也會有類似的吸收和修復過程,當收縮多過修復時牙腳就可能變短,而且沒有辦法再生長。大多數情況,牙根收縮程度輕微,只有1%至5%的人會出現比較嚴重的收縮(超過牙腳1/3或1/4長度)。
矯齒過程中牙脚收縮的直接原因不明,但現在已了解一些與此相關的因素,包括患者自身因素,例如特別的牙根形狀,牙齒曾受創傷和遺傳;矯齒治療因素包括矯齒力度過大和牙齒壓入移動等。
矯齒治療前醫生會評估牙腳收縮的風險並告知患者。治療中,一般是治療開始約半年後會拍X光片檢查牙根情况,一旦發現有明顯收縮狀況,醫生可能會暫停加力一段時間,也可能會對治療計劃做相應的調整,以防止進一步的收縮。
牙齒無論有否接受矯齒治療都有可能出現牙腳收縮的現象。但矯齒治療出現的牙腳收縮不會造成不良影響,即使嚴重收縮的病例,牙齒也不會因此而脫落,牙齒壽命也不受影響。
作者為香港大學牙醫學院矯齒科臨床助理教授辜岷醫生

矯齒治療前

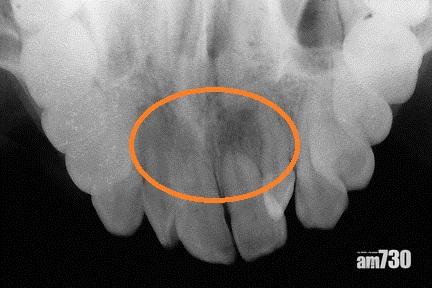
矯齒治療後門牙有牙腳收縮現象(此為嚴重收縮病例)。