眼睛是我們與世界互動的窗口。當我們面臨健康問題時,眼睛也可能受到影響。視網膜與黃斑點是眼睛中重要的結構,負責接收光線並傳送視覺訊息到大腦。長期高血糖會對視網膜的微小血管造成損害,俗稱糖尿上眼。
糖尿病視網膜病變
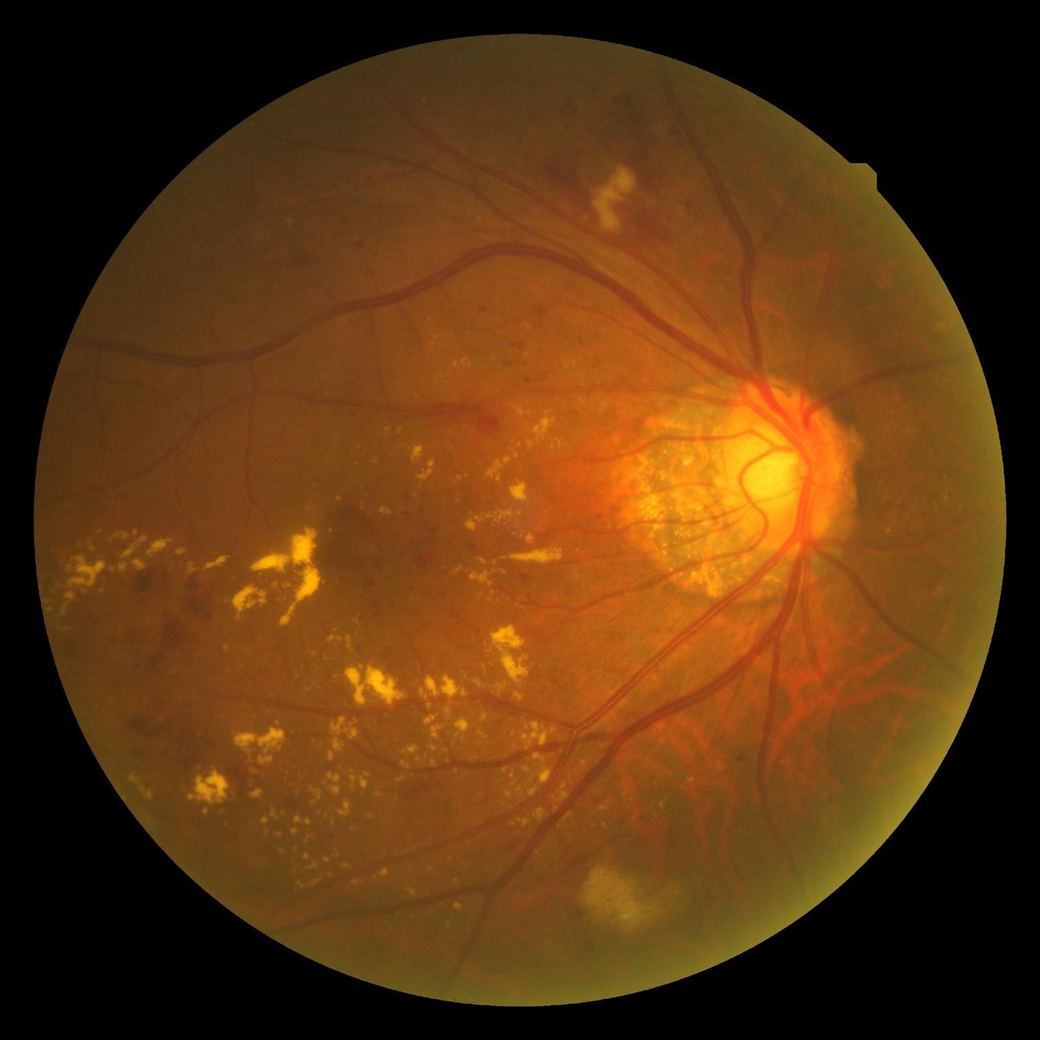
糖尿病是影響多個器官的疾病,包括眼睛。其嚴重程度大致可分為:
- 輕度非增殖性:大多不會有明顯的視力問題,只是透過篩查發現;
- 中度/重度非增殖性:可能沒有病徵,又或輕微視力模糊;
- 增殖性:增生血管容易破裂,造成玻璃體出血,輕則飛蚊增加,嚴重者視力喪失。
除此以外,有些糖尿病患者還會併發出黃斑水腫,導致視力受損。
治療
早期診斷和治療是保護視力的關鍵,香港基層醫療已有篩查計劃。對於糖尿病患者來說,控制血糖、血壓和膽固醇水平同樣重要。
- 血糖控制:定期測量血糖並遵從醫生建議,包括飲食控制、運動和藥物治療。
- 定期眼科檢查:早期診斷可以減少視力損失的風險。
- 激光:用於嚴重視網膜病變或黃斑水腫,利用高能量激光,以減緩病情發展。
- 眼內注射抗血管內皮生長因子(Anti-VEGF):針對黃斑水腫和增殖性視網膜病變,抑制病情並保護視網膜組織。
糖尿病患者還應該保持良好生活習慣,如戒煙。透過與醫生合作,患者大多可以維護良好的生活品質。
作者為眼科專科醫生區自力







