
在我們身體的每個角落,都有著猶如小夥伴的組織結構,例如是指甲和甲床。但當甲床組織變異而感到手指頭刺痛和怕冷,便有可能是患上血管球瘤。
血管球瘤是一種罕見但屬良性的軟組織腫瘤,在年輕女性身上較常見。它發病於甲床或指腹內,成因是血管球體出現異常增生。血管球體是位於身體皮下,由血管和交感神經組成的微細組織,對外間溫度十分敏感,負責調節皮下血液流動來協助調節體溫。
一旦形成了血管球瘤,並逐漸變大,擠壓於指甲與指骨之間,手指頭對痛覺和溫差的反應便會異常放大。諸如手指被外物觸碰,也會立時感到痛入心扉。如以冷水洗手,或是正值寒冬,痛楚亦會恍似寒風刺骨。情況正如《角落生物》裡,來自北方但非常怕冷的「白熊」,需時常泡一杯熱茶來溫暖雙手。
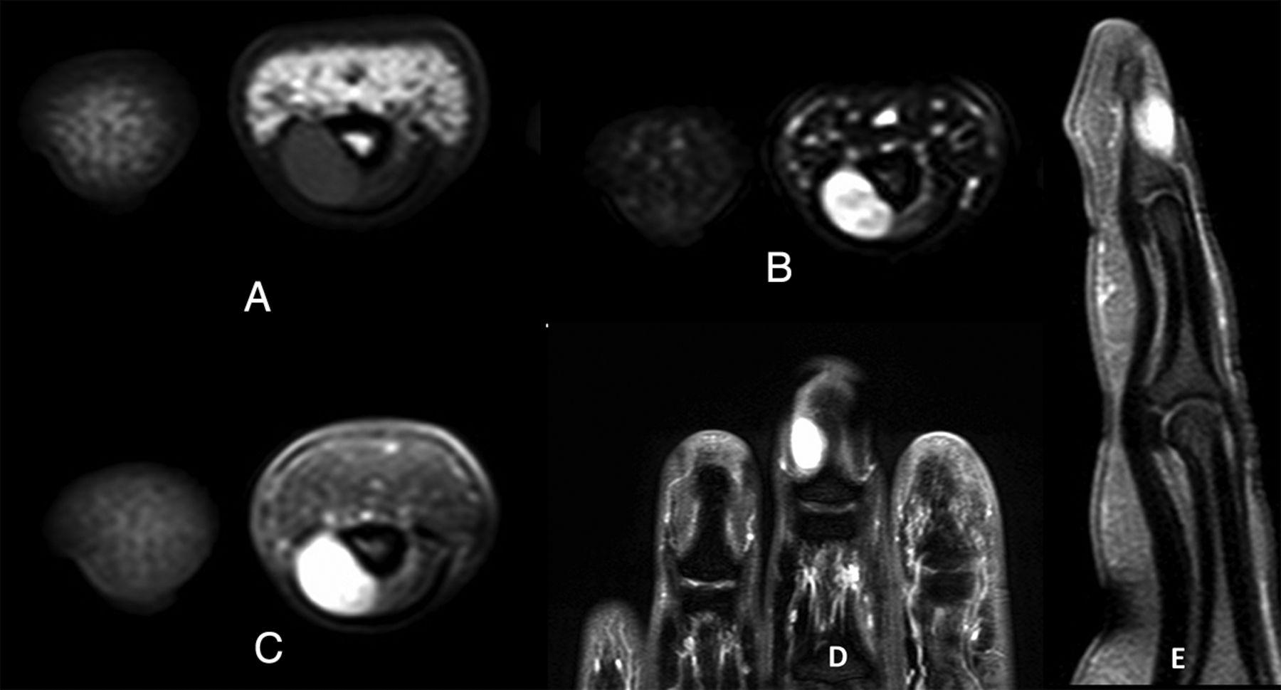
臨床上,甲床內的血管球瘤,在指甲下或呈紫藍色,但通常也難以察覺。倘若以筆尖擠壓患處,痛楚卻會一觸即發。因腫瘤對相連組織構成長期壓力,位於上方的指甲或已出現變形,而位於下方的指骨,在X光下亦會呈現被侵蝕的痕跡。然而磁力共振是最準確的診斷,可發現細至2毫米的血管球瘤。手術切除乃最佳的治療方案,一般可以在局部麻醉下透過顯微鏡徹底切除,術後不但與痛楚告別,再生的指甲亦不再變形。
懷疑患上血管球瘤的你,切勿瑟縮於角落裏諱疾忌醫。但不勝世態炎涼的你,假如能夠像白熊一樣,找到最窩心的裹布來作被窩,時刻相擁取暖,那麼縱然要你棲身在燈火闌珊處,成為被邊緣化的角落生物,其實又有何不可呢?
作者為骨科專科醫生